Example ImageÃÀ¸ß÷

EN
EN
  • ÓªÒµ×Éѯ

    Öйú£º

    Email: marketing@medicilon.com.cn

    ÓªÒµ×ÉѯרÏߣº400-780-8018

    £¨½öÏÞЧÀÍ×Éѯ£¬£¬£¬ £¬£¬ÆäËûÊÂÒËÇ벦´ò´¨É³×ܲ¿µç»°£©

    ´¨É³×ܲ¿µç»°: +86 (21) 5859-1500

    ÍâÑó£º

    +1(781)535-1428(U.S.)

    0044 7790 816 954 (Europe)

    Email:marketing@medicilon.com

ÔÚÏßÁôÑÔ¡Á
µã»÷Çл»
Preclinical study
ÁÙ´²Ç°Ñо¿

×éÖ¯²¡ÀíÑо¿

ÔÚÕï¶ÏÀú³ÌÖУ¬£¬£¬ £¬£¬×éÖ¯²¡ÀíÕï¶ÏÆÊÎö±»ÒÔΪÊÇÈ·¶¨¼²²¡±£´æ¼°ÐÔ×ӵĽð±ê×¼¡£¡£¡£¡£¡£ÔÚ»úÌåδÌåÏÖ³öÏÔ×ŵÄÁÙ´²Ö¢×´Ç°£¬£¬£¬ £¬£¬Í¨¹ý×éÖ¯²¡Àíѧ¼ì²é¿ÉÒÔ·¢Ã÷Ò©Îï¶Ô»úÌå×éÖ¯Æ÷¹ÙµÄÓ°Ï죬£¬£¬ £¬£¬ÎªÔ¤·ÀºÍÖÎÁƼ²²¡ÌṩÖ÷Òª²Î¿¼¡£¡£¡£¡£¡£

ÔÚÒ©ÎïÉ걨Àú³ÌÖУ¬£¬£¬ £¬£¬×éÖ¯²¡ÀíѧÕï¶ÏЧ¹û¹ØÓÚÆÀ¹ÀÒ©ÎïµÄDZÔÚΣº¦Ë®Æ½ÖÁ¹ØÖ÷Òª£¬£¬£¬ £¬£¬Òò´ËÊܵ½¸÷Ïà¹Ø»ú¹¹µÄ¸ß¶ÈÖØÊÓ¡£¡£¡£¡£¡£¸÷î¿Ïµ»ú¹¹³ǫ̈µÄÖ¸µ¼Ô­ÔòÒ²¶Ô¶ÌÆÚ¶¾ÐÔ¡¢ÑÇÂýÐÔ¶¾ÐÔ¡¢ÂýÐÔ¶¾ÐÔºÍÖ°©ÐÔµÈÊÔÑéÖеÄ×éÖ¯²¡ÀíѧÕï¶ÏÌá³öÁËÃ÷È·ÒªÇ󡣡£¡£¡£¡£ÃÀ¸ß÷ÆÕÑÇ×÷Ϊһ¼Ò×ÛºÏÐÔµÄCROÆóÒµ£¬£¬£¬ £¬£¬ÌṩÁËÖÜÈ«µÄ×éÖ¯²¡ÀíѧЧÀÍ¡£¡£¡£¡£¡£

ÎĵµÏÂÔØ
ЧÀÍÄÚÈÝ
  • ÃÀ¸ß÷ÆÕÑÇÌṩµÄ×éÖ¯²¡ÀíѧЧÀͰüÀ¨:
    ²¡ÀíÕï¶Ï£º
    ¶Ô¶àÖÖÊô¶¯ÎïÌṩ²¡ÀíÕï¶ÏЧÀÍ£¬£¬£¬ £¬£¬°üÀ¨µ«²»ÏÞÓÚ´óÊó¡¢Ð¡Êó¡¢ëàÊó¡¢Íá¢È®¡¢·ÇÈËÁ鳤À༰СÐÍÖíµÈ£»£»£»
    ¶Ô¶àÖÖÀàÐͶ¾ÐÔÑо¿ÊÔÑé°üÀ¨¶ÌÆÚ¶¾ÐÔÊÔÑé¡¢ÑÇÂýÐÔ¶¾ÐÔÊÔÑé¡¢ÂýÐÔ¶¾ÐÔÊÔÑé¼°Ö°©ÐÔÑо¿µÈÓµÓи»ºñµÄÕï¶ÏÂÄÀú£»£»£»
    Õë¶Ô¿Í»§Ìá³öµÄÌØÊâ×éÖ¯ÔàÆ÷Õï¶ÏÐèÇ󣬣¬£¬ £¬£¬ÌṩרҵµÄ½â¾ö¼Æ»®£¬£¬£¬ £¬£¬Öª×ãÉ걨ҪÇ󡣡£¡£¡£¡£
    Ⱦɫ¼¼Êõ£º
    ÌṩͨÀýµÄʯÀ¯ÇÐÆ¬¡¢H&EȾɫÕï¶Ï£»£»£»
    Ìṩ±ù¶³ÇÐÆ¬¡¢ÌØÊâȾɫ¡¢ÃâÒß×éÖ¯»¯Ñ§È¾É«¼°×éÖ¯½»Ö¯·´Ó¦£¨TCR£©µÈÕï¶ÏЧÀÍ£¬£¬£¬ £¬£¬Öª×ã¿Í»§¶ÔÌØ¶¨ÊÔÑéµÄ×éÖ¯ÊÓ²ìÐèÇ󡣡£¡£¡£¡£
    ÃÀ¸ß÷²¡ÀíѧÑо¿ÊµÑéÆ½Ì¨.jpg
  • H&E
    HEȾɫ.png
  • ÌØÊâȾɫ
    ÌØÊâȾɫ-·¬ºì¹ÌÂÌȾɫ.jpgÌØÊâȾɫ-PASȾɫ.png
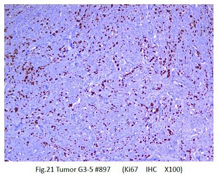
  • ÃâÒß×黯Ⱦɫ
    ÃâÒß×黯Ⱦɫ1.pngÃâÒß×黯Ⱦɫ2.png
  • ×éÖ¯½»Ö¯TCR
    ×éÖ¯½»Ö¯·´Ó¦£¨Tissue Cross-Reactivity£©ÊÇÓÃÓÚÌåÍâ¼ì²â¿¹ÌåÒ©ÎïÓë×éÖ¯¿¹Ô­±íλÁ¬ÏµµÄÊÔÑé¡£¡£¡£¡£¡£ÆäÄ¿µÄÊÇÈ·ÈÏÊÜÊÔ¿¹ÌåÊÇ·ñÓë°Ð×éÖ¯¿¹Ô­ÌØÒìÐÔÁ¬Ïµ£¬£¬£¬ £¬£¬²¢¼ì²â¿¹ÌåÊÇ·ñÓë·Ç°Ð×éÖ¯¿¹Ô­±¬·¢½»Ö¯·´Ó¦£¬£¬£¬ £¬£¬´Ó¶øÎªÑ¡Ôñ·ÇÁÙ´²Çå¾²ÐÔÊÔÑéµÄ¶¯ÎïÖÖÊô¼°Õ¹ÍûDZÔÚ¶¾ÐÔ°ÐÆ÷¹ÙÌṩÖ÷Òª²Î¿¼¡£¡£¡£¡£¡£
×éÖ¯²¡ÀíѧÑо¿ÒÇÆ÷
  • ×éÖ¯²¡ÀíѧÑо¿Éæ¼°¶àÖÖÒÇÆ÷×°±¸£¬£¬£¬ £¬£¬ÕâЩװ±¸ÓÃÓÚ×éÖ¯Ñù±¾µÄÖÆ±¸¡¢È¾É«¡¢ÊÓ²ìºÍÆÊÎö
    ÏÖÔÚ£¬£¬£¬ £¬£¬ÎÒ˾ÓÃÓÚÕï¶ÏµÄÏÔ΢¾µ¶àΪOLYMPUS¹âѧÏÔ΢¾µ£¬£¬£¬ £¬£¬Ã¿Ì¨ÏÔ΢¾µÅäÓÐÏìÓ¦µÄ³ÉÏñϵͳ£¬£¬£¬ £¬£¬¿ÉÖª×ã¿Í»§¹ØÓÚÌØÊâ×éÖ¯²¡Àíѧ¸Ä±äµÄÅÄÉãÒªÇ󣻣»£»±ðµÄ£¬£¬£¬ £¬£¬¶àÍ·OLYMPUS¹âѧÏÔ΢¾µ¿ÉÖª×ã¶àÈËͬʱ¶ÔÇÐÆ¬¾ÙÐÐÊÓ²ìÕï¶ÏµÄÐèÇ󣬣¬£¬ £¬£¬¶Ôѧϰ¡¢»áÕïÌṩ×ÊÖú£»£»£»ÓÃÓÚÃâÒßÓ«¹âÊÓ²ìµÄLeicaÏÔ΢¾µÅ䱸³ÉÏñϵͳ£¬£¬£¬ £¬£¬Äܹ»Öª×ã¿Í»§Ê¹ÓÃÃâÒßÓ«¹âÒªÁì¼ì²âÌØÊâÒòËØµÄÐèÇ󡣡£¡£¡£¡£ÎÒ˾»¹Òý½øÁËLeica Aperio GT450ɨÃèÒÇ£¬£¬£¬ £¬£¬¿ÉÅúÁ¿É¨ÃèÇÐÆ¬£¬£¬£¬ £¬£¬±ãÓÚÊý×Ö»¯ÇÐÆ¬µÄ¹²ÏíºÍ¼ì²é¡£¡£¡£¡£¡£

    OLYMPUS¹âѧÏÔ΢¾µ

    ÎÒ˾ÓÃÓÚÕï¶ÏµÄÏÔ΢¾µ¶àΪOLYMPUS¹âѧÏÔ΢¾µ£¬£¬£¬ £¬£¬Ã¿Ì¨ÏÔ΢¾µÅäÓÐÏìÓ¦µÄ³ÉÏñϵͳ£¬£¬£¬ £¬£¬¿ÉÖª×ã¿Í»§¹ØÓÚÌØÊâ×éÖ¯²¡Àíѧ¸Ä±äµÄÅÄÉãÒªÇ󡣡£¡£¡£¡£

    ¶àÍ·OLYMPUS¹âѧÏÔ΢¾µ

    ¶àÍ·OLYMPUS¹âѧÏÔ΢¾µ¿ÉÖª×ã¶àÈËͬʱ¶ÔÇÐÆ¬¾ÙÐÐÊÓ²ìÕï¶ÏµÄÐèÇ󣬣¬£¬ £¬£¬¶Ôѧϰ¡¢»áÕïÌṩ×ÊÖú¡£¡£¡£¡£¡£

    LeicaÏÔ΢¾µ

    ÓÃÓÚÃâÒßÓ«¹âÊÓ²ìµÄLeicaÏÔ΢¾µ£¨´ø³ÉÏñϵͳ£©¿ÉÖª×ã¿Í»§µÄ¶ÔÓÃÃâÒßÓ«¹âÒªÁì¼ì²âÌØÊâÒòËØµÄÒªÇ󡣡£¡£¡£¡£

    ±ðµÄ£¬£¬£¬ £¬£¬ÎÒ˾Òý½øLeica Aperio GT450ɨÃèÒÇ£¬£¬£¬ £¬£¬¿ÉÅúÁ¿É¨ÃèÇÐÆ¬£¬£¬£¬ £¬£¬Àû±ã¹²ÏíºÍ¼ì²éÊý×Ö»¯ÇÐÆ¬¡£¡£¡£¡£¡£

    Leica-Aperio-GT450ɨÃèÒÇ.png Leica--eSlideÆÊÎö¹ÜÀíÈí¼þ.png

  • ÃÀ¸ß÷ÆÕÑÇÏÖÔÚÓµÓÐÕï¶ÏÂÄÀú¸»ºñµÄ²¡Àíѧ¼Ò¡£¡£¡£¡£¡£ÎªÁËÖª×㺣ÄÚ¡¢¹ú¼Ê¶ÔÙÉÐÐÆÀÒéµÄÈÕÒæÖØÊÓµÄÐèÇ󣬣¬£¬ £¬£¬ÓëÓµÓÐÈÕ±¾¶¾ÐÔ²¡Àíѧ¼Ò¼°ÃÀ¹ú¶¾ÐÔ²¡Àíѧ¼Ò×ÊÖʵÄר¼Ò¾ÙÐкã¾ÃÏàÖú£¬£¬£¬ £¬£¬Öª×ã¿Í»§¶Ôº£ÄÚÍâÉ걨µÄÐèÇ󡣡£¡£¡£¡£

    ¶¾Àí²¡ÀíѧʵÑéÊÒÏà¹ØÄÜÁ¦ÑéÖ¤¼°¸ñÖ¤Êé

    ÃÀ¸ß÷ÄÏ»ã»ñ2024Äê¶ÈʵÑ鲡ÀíÕï¶ÏʵÑéÊÒ¼ä±È¶Ô×î¸ßÆÀ¼Û.webp

    ÃÀ¸ß÷ÆÕÑÇÄÏ»ãÔ°ÇøÔÚ2024Äê¶È¶¾ÐÔ²¡ÀíÐÎ̬ѧ¼ì²éÄÜÁ¦ÑéÖ¤ÏîÄ¿£¨NIFDC-PT-478£©ÖУ¬£¬£¬£¬£¬»ñµÃ¡°ÓÅÒ족ÆÀ¼Û.webp

    ÃÀ¸ß÷ÄÏ»ã»ñ¶¾ÐÔ²¡Àíѧ¼ì²éÄÜÁ¦ÑéÖ¤×î¸ßÆÀ¼Û.webp

Ïà¹ØÊµÑéÊÒ
  • ²¡ÀíÊÓ²ì
  • ±ù¶³ÇÐÆ¬
  • ²¡ÀíÇÐÆ¬
  • LeicaȾɫ·âƬÊÂÇéÕ¾
  • LeicaʯÀ¯ÇÐÆ¬»ú
  • Leica×éÖ¯ÍÑË®»ú
  • Thermo±ù¶³ÇÐÆ¬»ú
  • Thermo×éÖ¯°üÂñ»ú
  • ×éÖ¯°üÂñ»ú
  • Leica-Aperio-GT450ɨÃèÒÇ
  • Leica--eSlideÆÊÎö¹ÜÀíÈí¼þ
  • OLYMPUS¹âѧ¹²À¿ÏÔ΢¾µ
  • OLYMPUS¹âѧÏÔ΢¾µ
  • È«×Ô¶¯È¾É«»ú
  • ×éÖ¯ÍÑË®»ú
  • LeicaÓ«ÏÊÃ÷΢¾µ
Ïà¹ØÎÄÕÂ
¡Á
ËÑË÷ÑéÖ¤
µã»÷Çл»
¡¾ÍøÕ¾µØÍ¼¡¿¡¾sitemap¡¿