Example ImageÃÀ¸ß÷

EN
EN
  • ÓªÒµ×Éѯ

    Öйú£º

    Email: marketing@medicilon.com.cn

    ÓªÒµ×ÉѯרÏߣº400-780-8018

    £¨½öÏÞЧÀÍ×Éѯ£¬£¬£¬£¬£¬£¬ÆäËûÊÂÒËÇ벦´ò´¨É³×ܲ¿µç»°£©

    ´¨É³×ܲ¿µç»°: +86 (21) 5859-1500

    ÍâÑó£º

    +1(781)535-1428(U.S.)

    0044 7790 816 954 (Europe)

    Email:marketing@medicilon.com

ÔÚÏßÁôÑÔ¡Á
µã»÷Çл»
Preclinical study
ÁÙ´²Ç°Ñо¿

ÁÙ´²²¡ÀíÑо¿

ÃÀ¸ß÷ÁÙ´²²¡ÀíÊÒΪÁ¥ÊôÓÚ²¡ÀíÑо¿²¿µÄGLPҽѧĥÁ·ÊµÑéÊÒ£»£»£»£»ÊµÑéÊÒÖ÷ÒªÈÏÕæ¼ì²â¶àÖÖ¶¯ÎïÉúÎﻯѧ¡¢ÑªÒºÑ§¡¢ÄýѪ¡¢ÄòÒºÆÊÎö¡¢ÄòÒº³ÁÔü¾µ¼ì¡¢ÁܰÍϸ°û·ÖÐÍ¡¢ÌåÍâÈÜѪ¡¢¹ÇËèͿƬ¾µ¼ìÒÔ¼°¶¯ÎïÌå¼ìµÈÏîÄ¿£¬£¬£¬£¬£¬£¬Îª¶¯ÎïÊÔÑéÌṩ׼ȷ¿ÆÑ§µÄÄ¥Á·ÒÀ¾Ý¡£¡£¡£¡£ 2018ÄêÆðʵÑéÊÒ¼ÓÈëÁËÉϺ£ÊÐÁÙ´²Ä¥Á·ÖÐÐĵÄÊÒ¼äÖÊÆÀ£¬£¬£¬£¬£¬£¬²¢Ò»Á¬ËÄÄêËùÓÐÏîÄ¿ËùÓм°¸ñ£¬£¬£¬£¬£¬£¬È¡µÃÉϺ£ÊÐÁÙ¼ìÖÐÐĽÒÏþµÄÖ¤Êé¡£¡£¡£¡£
ÎĵµÏÂÔØ
ÁÙ´²²¡ÀíÊÒÓµÓжą̀ÐÐÒµÄÚÏȽøµÄ¼ì²âÒÇÆ÷×°±¸£¬£¬£¬£¬£¬£¬¿ÉΪ¿Í»§Ìṩ¸»ºñµÄ¼ì²âÏîÄ¿£¬£¬£¬£¬£¬£¬¶àÖÖ¶¯ÎïÖÖÊôµÄѪҺÌåÒºµÈÑù±¾¼ì²âÆÊÎöЧÀÍ£¬£¬£¬£¬£¬£¬Îª¿Í»§ÌṩÖÜÈ«µÄÇå¾²ÐÔÆÀ¼ÛÊý¾ÝÖ§³Ö¡£¡£¡£¡£
ÃÀ¸ß÷ÁÙ´²²¡ÀíʵÑéÊÒ
  • ÁÙ´²²¡ÀíѧÊÇͨ¹ý¼ì²éѪҺ¡¢×éÖ¯ºÍÌåÒº±êÔ­À´Ñо¿¶¯Îï»úÌå¼²²¡µÄÒ»ÃÅѧ¿Æ¡£¡£¡£¡£
    ÃÀ¸ß÷µÄÁÙ´²²¡ÀíʵÑéÊÒÏÖÓжą̀´óÐÍÆÊÎö×°±¸£¬£¬£¬£¬£¬£¬°üÀ¨È«×Ô¶¯Éú»¯ÆÊÎöÒÇ¡¢È«×Ô¶¯ÑªÒºÆÊÎöÒÇÁ÷Ë®Ïß¡¢È«×Ô¶¯ÄýѪÆÊÎöÒÇ¡¢È«×Ô¶¯ÄòÒºÆÊÎöÒÇ£¬£¬£¬£¬£¬£¬ÒÔ¼°Á÷ʽϸ°ûÆÊÎöÒǵȡ£¡£¡£¡£ÒÇÆ÷×°±¸ÐÔÄÜÎȹÌ£¬£¬£¬£¬£¬£¬¼ì²âËÙÂʿ죬£¬£¬£¬£¬£¬¼ì²âЧ¹û׼ȷ¿É¿¿¡£¡£¡£¡£
    ÁíÍ⣬£¬£¬£¬£¬£¬ÊµÑéÊÒͬʱ¿ªÕ¹Á˶àÏîϸ°ûÐÎ̬ѧĥÁ·ÏîÄ¿£¬£¬£¬£¬£¬£¬ÈçѪϸ°ûÐÎ̬ѧĥÁ·¡¢ÄòÒº³ÁÔüϸ°ûÐÎ̬ѧĥÁ·¡¢ÒÔ¼°¹ÇËèϸ°ûÐÎ̬ѧĥÁ·µÈ¡£¡£¡£¡£
    ÃÀ¸ß÷²¡ÀíѧÑо¿ÊµÑéÆ½Ì¨.jpg
ÁÙ´²²¡ÀíʵÑéÊҵļì²âЧÀÍ
  • ÃÀ¸ß÷ÁÙ´²²¡ÀíÊÒ¿ÉÒÔÍê³É°üÀ¨Éú»¯ÆÊÎö£¬£¬£¬£¬£¬£¬ÑªÒºÑ§ÆÊÎö£¬£¬£¬£¬£¬£¬ÄýѪÆÊÎö£¬£¬£¬£¬£¬£¬ÄòÒºÆÊÎö£¬£¬£¬£¬£¬£¬ÃâÒ߯ÊÎö£¬£¬£¬£¬£¬£¬Äò³ÁÔü¾µ¼ì£¬£¬£¬£¬£¬£¬Ï¸°ûÐÎ̬ѧ¼ì²âµÈЧÀÍ£¬£¬£¬£¬£¬£¬ÒÔ¼°ÌØÊâµÄÉú»¯ÆÊÎöÏîÄ¿¡£¡£¡£¡£
    ÌØÊâÉú»¯ÆÊÎöÏîÄ¿£º
    ³¬ÃôC-·´Ó¦ÂѰף¨hs-CRP£©ÃâÒßÇòÂѰ×A£¨IgA£©ÃâÒßÇòÂѰ×G£¨IgG£©ÃâÒßÇòÂѰ×M£¨IgM£©²¹ÌåC3²¹ÌåC4
    ×ÜѪºìÂѰף¨THb£©ÌÇ»¯ÑªºìÂѰף¨HbAlc£©ÌÇ»¯ÑªºìÂѰװٷֱȣ¨HbAlc%£©
    ÄòËᣨUA£©
    ¦Á-µí·Ûø£¨AMY£©Ö¬·¾Ã¸£¨LPS£©
    ¸ßÃܶÈÖ¬ÂѰ׵¨¹Ì´¼£¨HDL-C£©µÍÃܶÈÖ¬ÂѰ׵¨¹Ì´¼£¨LDL-C£©
  • ÁÙ´²²¡ÀíʵÑéÊÒÒѾ­Ò»Á¬¶àÄê¼ÓÈëÉϺ£ÊÐÁÙ´²Ä¥Á·ÖÐÐĵÄÄÜÁ¦ÑéÖ¤ÓëÊÒ¼äÖÊÆÀÍýÏ룬£¬£¬£¬£¬£¬ËùÓÐÏîÄ¿¾ù˳Ëìͨ¹ý£¬£¬£¬£¬£¬£¬²¢»ñµÃÉϺ£ÊÐÁÙ´²Ä¥Á·ÖÐÐĽÒÏþµÄÖ¤Êé¡£¡£¡£¡£

    ÁÙ´²²¡ÀíʵÑéÊÒ»ñµÃÉϺ£ÊÐÁÙ´²Ä¥Á·ÖÐÐĵÄÄÜÁ¦ÑéÖ¤ÓëÊÒ¼äÖÊÆÀÍýÏëÖ¤Êé.jpg

  • Sysmex-XN-2000vÈ«×Ô¶¯ÑªÒºÆÊÎöÒÇ.png

    ѪҺѧÆÊÎö

    Ѫϸ°ûÆÊÎöÊÇѪҺѧĥÁ·µÄÒ»¸öÖ÷Òª¼ì²âÏîÄ¿£¬£¬£¬£¬£¬£¬ÎªÌá¸ß¼ì²âЧÂÊ£¬£¬£¬£¬£¬£¬ÊµÑéÊÒʹÓÃѪҺÆÊÎöÒÇÁ÷Ë®ÏßÀ´¾ÙÐмì²â¡£¡£¡£¡£ËùʹÓõÄSYSMEX XN-2000vÈ«×Ô¶¯ÑªÒºÆÊÎöÒǽÓÄÉÁ÷ʽϸ°ûÁ¬Ïµ¼¤¹â¼¼Êõ¡¢µç×迹·¨ÆÊÎöÒªÁ죬£¬£¬£¬£¬£¬¼ì²âЧ¹û׼ȷ¿É¿¿¡£¡£¡£¡£

    ¼ì²âÏîÄ¿£ºCBC¡¢DIFF¡¢RET ¾ß±¸4¸ùͨµÀÓµÓÐ34Ïî׼ȷ¶È¼ì²â²ÎÊý£¬£¬£¬£¬£¬£¬¾ßÓÐPLT-FͨµÀ¡¢L-WBCµÍÖµ°×ϸ°û¼ì²âģʽ¡¢´ó´óÌá¸ßÑùÆ·¼ì²âЧ¹ûµÄ׼ȷÐÔ¡£¡£¡£¡£¸ÃÒÇÆ÷¿ÉÒÔ¼ì²â27ÖÖ¶¯Î19¸öÎïÖÖ£¬£¬£¬£¬£¬£¬8¸öÑÇÖÖ£©£¬£¬£¬£¬£¬£¬ÍêÈ«ÁýÕÖʵÑéËùÐèµÄÖÖÊô£¬£¬£¬£¬£¬£¬ÁíÍâ¿Éƾ֤ÏîÄ¿ÐèÇó¶¨ÖÆÆÊÎöÄ£°å¾ÙÐÐÌØÊ⶯ÎïÖÖÊôÑùÆ·ÆÊÎö¡£¡£¡£¡£È«×Ô¶¯ÑªÒºÆÊÎöÒÇÔÚË«»úÔËÐеÄÇéÐÎÊÂÇéЧÂʿɵִïÿСʱÆÊÎö¿ìÒª100¸öÑù±¾£¬£¬£¬£¬£¬£¬ÓÐÓýÚԼʱ¼ä¡¢È˹¤±¾Ç®¡£¡£¡£¡£»¹¿ÉÖ§³Ö×Ô¶¯ÉÏÑù¡¢ÊÖ¶¯ÉÏÑùģʽ¡¢¾ßÓÐȫѪģʽ¡¢Î¢Á¿ÑªÄ£Ê½£¬£¬£¬£¬£¬£¬Ê¹ÓÃ΢Á¿ÑªÄ£Ê½¿É´ó´ó½ÚÔ¼¶¯ÎïѪҺÑùÆ·¾ÙÐÐÆÊÎö¡£¡£¡£¡£
  • Sysmex-CS-5100È«×Ô¶¯ÄýѪÆÊÎöÒÇ.png

    ÄýѪÆÊÎö

    ÄýѪ¹¦Ð§ÊÇѪҺÓÉÒºÌå״̬ת±äΪÄý½º×´Ì¬µÄÀú³Ì£¬£¬£¬£¬£¬£¬´ËÀú³ÌÊÇÓÉһϵÁÐÄýѪÒò×Ó¼ÓÈëµÄ¡¢ÖØ´óµÄø´Ù·´Ó¦ºÍ·Ö×Ó¾ÛºÏÀú³Ì¡£¡£¡£¡£È«×Ô¶¯ÄýѪÆÊÎöÒÇÖ÷ÒªÓÃÓÚÕÉÁ¿ÊµÑ鶯ÎïѪ½¬Ö¹ÑªÓëѪ˨·Ö×Ó±ê¼ÇÎïµÄ¼ì²â£¬£¬£¬£¬£¬£¬ÕâЩָ±êÓëʵÑ鶯ÎïÖÖÖÖ¼²»¼ÓÐ×ÅÇ×½üÁªÏµ£¬£¬£¬£¬£¬£¬È綯ÂöÖàÑùÓ²»¯£¬£¬£¬£¬£¬£¬ÐÄÄÔѪ¹Ü¼²²¡¡¢ÌÇÄò²¡¡¢ÐÂÎÅÂöѪ˨Ðγɵȡ£¡£¡£¡£

    ÁÙ´²²¡ÀíʵÑéÊÒËùʹÓõÄSYSMEX CS-5100È«×Ô¶¯ÄýѪÆÊÎöÒÇ£¬£¬£¬£¬£¬£¬ÊÇÏÖÔÚÊÐÃæÉϽÏΪ¾«²ÊµÄ¸ßËÙÆÊÎöϵͳ£¬£¬£¬£¬£¬£¬¸üÊǿɿ¿ËÝÔ´µÄÍêÕûÅäÌ×¼ì²âϵͳ¡£¡£¡£¡£

    ¼ì²âÏîÄ¿£ºÄýѪøԭʱ¼ä¡¢»î»¯²¿·ÖÄýѪ»îøʱ¼ä¡¢ÏËάÂѰ×Ô­¡¢ÄýѪøʱ¼ä¡£¡£¡£¡£ÓµÓÐËÄÖÖ¼ì²âÒªÁ죬£¬£¬£¬£¬£¬¶à²¨³¤¼ì²âϵͳ£»£»£»£»ÊÔ¼ÁÖÇÄܹÜÀí£»£»£»£»ÌõÂë×Ô¶¯Ê¶±ðµÈ¹¦Ð§¡£¡£¡£¡£
  • Sysmex-UC-3500È«×Ô¶¯ÄòÒºÆÊÎöÒÇ.png

    ÄòÒºÆÊÎö

    ÄòҺͨÀýÆÊÎöÊÇÈý´óͨÀýÄ¥Á·ÖеÄÒ»Ï£¬£¬£¬£¬£¬×÷ÎªÉøÍ¸Îï¼ì²é£¬£¬£¬£¬£¬£¬ÄòÒºÆÊÎöЧ¹û¿É·´Ó¦»úÌåµÄ´úл״̬£¬£¬£¬£¬£¬£¬ÊÇÐí¶à¼²²¡Õï¶ÏµÄÖ÷ÒªÖ¸±ê£¬£¬£¬£¬£¬£¬Ò²ÊÇÉöÔà»òÄò·¼²²¡µÄÕ÷Õס£¡£¡£¡£²»ÉÙÉöÔಡ±äÔçÆÚ¾Í¿ÉÒÔ·ºÆðÂѰ×Äò»òÕßÄò³ÁÔüÖзºÆðÓÐÐÎÒòËØ¡£¡£¡£¡£

    ¼ì²âÏîÄ¿£ºÄòµÄÑÕÉ«¡¢Íâ¹Û¡¢Ëá¼î¶È¡¢ÆÏÌÑÌÇ¡¢µ¨ºìËØ¡¢ÍªÌå¡¢±ÈÖØ¡¢ÂѰ×ÖÊ¡¢ÒþѪ¡¢Äòµ¨Ô­¡¢ÑÇÏõËáÑκͰ×ϸ°û¡£¡£¡£¡£½ÓÄÉ×Ô¶¯µÄ¶¨Á¿µãʽ·½·¨¼ÓÑù£¬£¬£¬£¬£¬£¬×èÖ¹ÎÛȾ£¬£¬£¬£¬£¬£¬·´ÉäÐÍÕÛÉäÂʲⶨ±ÈÖØ£¬£¬£¬£¬£¬£¬Í¸ÉäÐͲâÎü¹â¶È¼ì²âÑÕÉ«¡¢Íâ¹Û£¬£¬£¬£¬£¬£¬¼ì²âЧ¹û¸ü׼ȷ¿É¿¿¡£¡£¡£¡£
  • ÃâÒ߯ÊÎö

    ÃâÒ߯ÊÎöÊÇʹÓÿ¹Ô­Ó뿹ÌåÔÚÌåÍâÌØÒìÐÔÁ¬Ïµ£¬£¬£¬£¬£¬£¬ÔÙʹÓÃÁ÷ʽϸ°ûÒÇÀ´¼ì²â¡¢ÆÊÎöËùÐèÎïÖʵÄÒªÁì¡£¡£¡£¡£ÔËÓÃÁ÷ʽϸ°ûÊõ¾ÙÐÐÁܰÍϸ°ûÑÇȺÆÊÎöÊÇÒ©ÎïÇå¾²ÐÔÆÀ¼ÛÑо¿Ö÷ÒªµÄ¼ì²âÏîÄ¿¡£¡£¡£¡£ÁÙ´²²¡ÀíʵÑéÊÒÁ÷ʽϸ°ûÒÇÖ÷ÒªÓÃÓÚ¼ì²â¶¯ÎïѪϸ°ûµÄÁܰÍϸ°û±íÐÍÆÊÎö¡£¡£¡£¡£Í¨Ì«¹ýÎö¸÷¸öÃâÒßϸ°ûȺµÄÊýÄ¿ºÍ¹¦Ð§£¬£¬£¬£¬£¬£¬·´Ó¦³ö»úÌåÃâÒßϵͳµÄת±ä¡£¡£¡£¡£

    BD-FACS-Lyric-Á÷ʽϸ°ûÒÇ-1.jpg

    BD-FACS-Lyric-Á÷ʽϸ°ûÒÇ-2.jpg

    BD FACSLyric Á÷ʽϸ°ûÒÇÉèÖÃ3¼¤¹â12É«£¬£¬£¬£¬£¬£¬¿ÉÒÔ´øÀ´¸ü¸ßЧ¼ì²âËÙÂʺ͸üÎÞаµÄÅäÉ«¼Æ»®£¬£¬£¬£¬£¬£¬¸ü¾ßЧÂÊÓëÖÇÄÜ»¯ÐÔµÄ×Ô¶¯½øÑùϵͳ£¬£¬£¬£¬£¬£¬¿ÉÑ¡ÔñÊԹܼܻò96¿×°å¾ÙÐÐÒ»Á¬½øÑùºÍÊý¾ÝÊÕÂÞ£¬£¬£¬£¬£¬£¬¿ÉµÖ´ï35000events/sec¸ü¾«×¼µÄ¹â·×ÔÎÒµ÷Àí£¬£¬£¬£¬£¬£¬FACSLyric¾ßÓÐ60ÌìÒ»´ÎµÄÓ«¹âÅâ³¥ÖµµÄ¸üй¦Ð§¡£¡£¡£¡£¸üÏȽøµÄ²Ù×÷½çÃæ£¬£¬£¬£¬£¬£¬¿Éʵʱ¼à²âÿһ¸öÑù±¾µÄ¼ì²â״̬ºÍ¼ì²âÖ¸±ê¡£¡£¡£¡£

    ¼ì²âÏîÄ¿£ºTÁܰÍϸ°û¡¢BÁܰÍϸ°û¡¢NKϸ°ûµÈ
  • Beckman-Coulter-AU5800È«×Ô¶¯Éú»¯ÆÊÎöÒÇ.jpg

    Éú»¯ÆÊÎö

    ÁÙ´²Éú»¯Ö¸±êÖ÷ÒªÓÃÀ´¼ì²â̼ˮ»¯ºÏÎï¡¢Ö¬Àà¡¢ÂѰ×ÖÊ¡¢ÄòÒº¡¢¸Îµ¨¡¢ÐÄѪ¹Ü¡¢¼¡È⡢賦µÀϵͳµÄ´úл¡£¡£¡£¡£ÕâЩ¼ì²âÖ¸±êÔÚÒ©ÎïÁÙ´²Ç°Ñо¿Öз´Ó¦Á˶Զ¯Îï»úÌå×ܵĴúл¡¢ÓªÑøºÍ¿µ½¡×´Ì¬µÄÓ°Ïì¡£¡£¡£¡£

    È«×Ô¶¯Éú»¯ÆÊÎöÒǽÓÄÉÄ£¿£¿£¿£¿£¿é»¯²¢ÐÐÊÂÇ飬£¬£¬£¬£¬£¬¿É¿ìËÙÍê³É¼ì²â²¢±¨¸æÊý¾Ý£»£»£»£»ÓиüÎȹ̵ÄNa, K, CIµç¼«ÏµÍ³£¬£¬£¬£¬£¬£¬×ÔÁ¦µç¼«£¬£¬£¬£¬£¬£¬Ê¹Ñù±¾¼ì²âÔ½·¢¾«×¼£»£»£»£»ÒÇÆ÷ÄÚÖúãÎÂҺѭ»·µÄ¸Éʽ·õÓýϵͳʹοظü׼ȷ¡¢ÎȹÌ£¬£¬£¬£¬£¬£¬°ü¹Ü¼ì²âÊý¾ÝµÄ׼ȷÐÔ¡£¡£¡£¡£4000¹â¶È·¨²âÊÔ/Сʱ£¬£¬£¬£¬£¬£¬900µç½âÖʲâÊÔ/Сʱ(Àë×ÓÑ¡Ôñµç¼«·¨)£¬£¬£¬£¬£¬£¬¿Éͬʱ¾ÙÐÐ 120¸öÆÊÎöÏîÄ¿¡£¡£¡£¡£ÔöÌí×ÔÁ¦Öزâ¹ìµÀ£¬£¬£¬£¬£¬£¬Ë«½øÑùϵͳÖÜȫ֪×ãÐèÒª£¬£¬£¬£¬£¬£¬¸üÀû±ã£¬£¬£¬£¬£¬£¬¸üÎÞа£¬£¬£¬£¬£¬£¬¸üÇå¾²¡£¡£¡£¡£

    ¼ì²âÏîÄ¿£º¸ÎÉö¹¦Ð§£¬£¬£¬£¬£¬£¬Ð¦Ð§£¬£¬£¬£¬£¬£¬ÑªÌÇѪ֬£¬£¬£¬£¬£¬£¬µç½âÖʵÈ
  • ÐÎ̬ѧ¼ì²â
    ÁÙ´²²¡ÀíµÄÏÔ΢¾µÖ÷ÒªÓÃÓÚ£º
    ·à±ã¼ÄÉú³æ¼ì²é

    ÐÎ̬ѧ¼ì²â-·à±ã¼ÄÉú³æ¼ì²é.png

    ÌåÍâÈÜѪÊÔÑéÏÔ΢¾µÊÓ²ìϸ°ûÄý¼¯Õ÷Ïó

    ÐÎ̬ѧ¼ì²â-ÌåÍâÈÜѪÊÔÑéÏÔ΢¾µÊÓ²ìϸ°ûÄý¼¯Õ÷Ïó.jpg

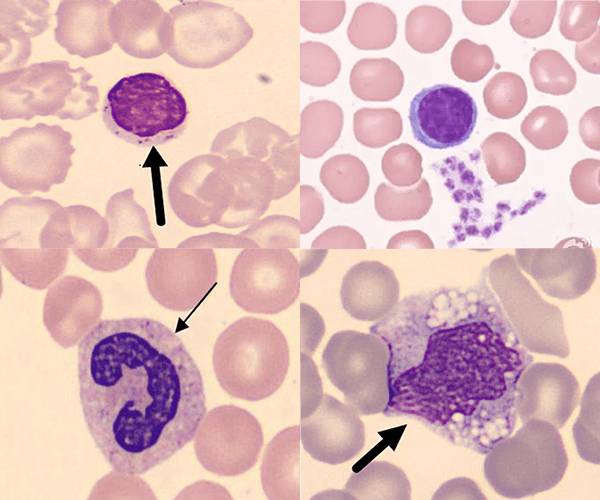
    ÍâÖÜѪͿƬϸ°ûÐÎ̬·ÖÀà

    ÐÎ̬ѧ¼ì²â-ÍâÖÜѪͿƬϸ°ûÐÎ̬·ÖÀà.jpg

    ¹ÇËèͿƬµÄϸ°ûÐÎ̬·ÖÀà

    ÐÎ̬ѧ¼ì²â-¹ÇËèͿƬµÄϸ°ûÐÎ̬·ÖÀà.jpg

    ΪSDÌṩ¶¯Îï¼ÄÉú³æÌå¼ìɸ²é¡¢²¿·ÖÌåÍâÈÜѪʵÑéÈ·ÈÏ¡¢ÑªÒºÏ¸°ûÆÊÎöÒǾµ¼ì¸´ºË¼°ÖÖÖÖÊô¶¯Îï¹ÇËèÓкËϸ°ûÔöÉúˮƽ¼°¶¾ÐÔת±äÌṩ²Î¿¼¡£¡£¡£¡£
Ïà¹ØÊµÑéÊÒ
  • Á÷ʽϸ°ûÒÇ
  • BECKMAN-COULTER-AU5800-Éú»¯ÆÊÎöÒÇ
  • ¾«×ÓÆÊÎöÒÇ
  • BD-FACSLyric-Á÷ʽϸ°ûÒÇ
  • ÁÙ¼ìÒÇÆ÷
  • ÁÙ¼ìÒÇÆ÷
  • ÁÙ¼ìÒÇÆ÷
  • È«×Ô¶¯Éú»¯ÆÊÎöÒÇ
  • È«×Ô¶¯ÄýѪÆÊÎöÒÇ
  • È«×Ô¶¯ÄòÒºÆÊÎöÒÇ
  • È«×Ô¶¯ÑªÒºÆÊÎöÒÇ
  • È«×Ô¶¯Éú»¯ÒÇ
  • È«×Ô¶¯ÑªÄýÆÊÎöÒÇ
Ïà¹ØÎÄÕÂ
¡Á
ËÑË÷ÑéÖ¤
µã»÷Çл»
¡¾ÍøÕ¾µØÍ¼¡¿¡¾sitemap¡¿