? ÊàŦÑ×£¨Arthritis£©
? ¼¡Î®ËõÐÔ¼¹Ëè²àË÷Ó²»¯Ö¢£¨Amyotrophic Lateral Sclerosis, ALS£©
? ÒøÐ¼²¡£¡£¡£¡£¡£¨Psoriasis£©
? ÌØÓ¦ÐÔÆ¤Ñ×£¨Atopic Dermatitis, AD£©
? Ñ×Ö¢ÐÔ³¦²¡£¡£¡£¡£¡£¨Inflammatory Bowel Disease, IBD£©
01 ½ºÔÓÕµ¼µÄÊàŦÑ×Ä£×Ó
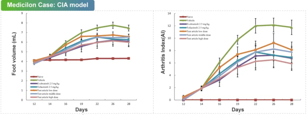
Àà·çʪÐÔÊàŦÑ×£¨Rheumatoid Arthritis, RA£©¶¯ÎïÄ£×Ó¹ØÓÚÑо¿ÌåÄÚRAµÄ·¢²¡»úÖÆºÍÆÀ¼Û¿¹RAÒ©ÎïµÄÁÆÐ§ÖÁ¹ØÖ÷Òª¡£¡£¡£¡£¡£
½ºÔÓÕµ¼µÄÊàŦÑ×£¨Collagen Induced Arthritis, CIA£©ÓëÈËÀàÀà·çʪÊàŦÑ×¾ßÓÐÅäºÏµÄÃâÒßѧºÍ²¡ÀíÑ§ÌØÕ÷£¬£¬£¬£¬Òò´Ë±»ÆÕ±éÓ¦ÓÃÓÚÖ²¡»úÀíºÍÐÂҩҩЧµÄÑо¿¡£¡£¡£¡£¡£¢òÐͽºÔÂѰף¨C¢ò£©Äܹ»ÃâÒßÓÕµ¼Ò׸ÐÄö³Ý¶¯ÎïºÍ·ÇÈËÁ鳤ÀදÎïÌåÄÚ±¬·¢ÊàŦÑ×ÐÔ×ÓµÄ×ÔÉíÃâÒß·´Ó¦¡£¡£¡£¡£¡£
±ðµÄ£¬£¬£¬£¬CIAµÄÒ׸ÐÐÔÒ²ÓëRAÏàËÆ£¬£¬£¬£¬ºÍÖ÷Òª×éÖ¯ÏàÈÝÐÔ¸´ºÏÌ壨Major Hhistocompatibility Complex, MHC£©µÄ¢òÀà·Ö×ÓÓйء£¡£¡£¡£¡£ÃâÒß·´Ó¦µÄÌØµãÊÇ£º´Ì¼¤½ºÔÌØÒìÐÔTϸ°û£¬£¬£¬£¬±¬·¢Õë¶ÔÐÔÃâÒß¿¹Ô£¨ÒìÔ´C¢ò£©ºÍ×ÔÉí¿¹Ô£¨Ð¡Êó»ò´óÊóC¢ò£©µÄ¸ßµÎ¶ÈÌØÒìÐÔ¿¹Ìå¡£¡£¡£¡£¡£
02 ÍêÈ«¸¥ÊÏ×ô¼ÁÓÕµ¼µÄÊàŦÑ×Ä£×Ó
Àà·çʪÐÔÊàŦÑ×£¨RA£©ÊÇÒ»ÖÖÂýÐÔ¾ÙÐÐÐÔµÄÑ×Ö¢ÐÔÊàŦÑס£¡£¡£¡£¡£ÍêÈ«¸¥ÊÏ×ô¼Á£¨Complete Freund¡¯s Adjuvant, CFA£©ÓÕµ¼µÄÊàŦÑ×Ä£×ÓÄܹ»ÌåÏÖ³ö°éÓÐÈ«ÉíÐԸıäµÄÒ»Á¬ÐÔÑ×Ö¢£¬£¬£¬£¬ÒÔ¼°»¬Ä¤ÔöÉú¡¢½ÇĤÒí¡¢¶ú²¿ºÍβ²¿·ºÆð¡°ÊàŦÑס±½á½ÚµÈ£¬£¬£¬£¬ÓëÈËÀàÊàŦÑ×ÓжàÖÖÏàËÆÖ®´¦£¬£¬£¬£¬Òò´ËÊÇÒ»¸öºÜÊÇÊÊÊÊÓÃÓÚ·¢²¡»úÀíµÄÑо¿ºÍÐÂҩҩЧÆÀ¼ÛµÄÄ£×Ó¡£¡£¡£¡£¡£
CFAÊÇÓÉʯÀ¯ÓͺͶþËõ¸Ê¶´¼Ò»ÓÍËáÓëÈÈÃð»î½áºË·ÖÖ¦¸Ë¾ú»ìÏý¶ø³ÉµÄ»ìÏýÈéÒº£¬£¬£¬£¬ÔÚÄö³ÝÀදÎïµÄצ²¿Æ¤ÏÂ×¢Éä»ò¸¹Ç»×¢É䣬£¬£¬£¬´Ó¶øÓÕµ¼¶¯Îï¶àÆ÷¹ÙµÄÃâÒßÑ×Ö¢·´Ó¦¡£¡£¡£¡£¡£
CFAÓÕµ¼µÄ´óÊóÊàŦÑ×£¨Adjuvant Induced Arthritis, AIA£©Ó¦ÓÃÆÕ±é£¬£¬£¬£¬¶ÔÑо¿Ñ×Ö¢Àú³ÌµÄ²¡Àí¡¢ÐÄÀíºÍÒ©Àí×÷Ó㬣¬£¬£¬ÒÔ¼°ÆÀ¹ÀÒ©ÎïµÄÕòʹDZÁ¦»ò¿¹Ñ××÷ÓþßÓÐÖ÷ÒªÒâÒå¡£¡£¡£¡£¡£
03 ÄòËáÄÆÓÕµ¼µÄÍ´·çÐÔÊàŦÑ×Ä£×Ó
Í´·çÐÔÊàŦÑ×£¨Gouty Arthritis, GA£©µÄÖ÷ÒªÌØÕ÷ÊÇ£ºÄòËáÄÆ£¨Monosodium Urate, MSU£©¾§ÌåÔÚÊàŦÖÜΧ×éÖ¯³Á»ý£¬£¬£¬£¬´Ì¼¤ÊàŦ£¬£¬£¬£¬ÒýÆðÊàŦ»¬Ä¤¼°ÖÜΧ×éÖ¯²¡Ëð¼°Ñ×Ö¢·´Ó¦¡£¡£¡£¡£¡£ÁÙ´²ÖУ¬£¬£¬£¬Í´·çµÄ·¢²¡Åãͬ×ÅÊàŦÖÜΧ×éÖ¯»òÊàŦµÄ´¥Í´¡¢ºì°ß¡¢·¢ºì¡¢Ö×ÕÍ¡¢ÌÛÍ´ºÍ·¢ÈÈ¡£¡£¡£¡£¡£
ÏÖÔÚ£¬£¬£¬£¬GA±¬·¢Ó뻺½âµÄÏêϸ»úÖÆÉÐδÃ÷È·£¬£¬£¬£¬µ«Ñо¿Ö°Ô±ÆÕ±éÒÔΪ£¬£¬£¬£¬ÊàŦ²¿Î»Îö³öµÄMSU¾§ÌåÊÇÔì³ÉÍ´·çÐÔÊàŦÑ×µÄÒªº¦»¯Ñ§ÎïÖÊ¡£¡£¡£¡£¡£MSU¾§ÌåÄܹ»ÓÕ·¢×ÔÉíÃâÒß¼°Ñ×Ö¢·´Ó¦£¬£¬£¬£¬¹ú¼ÊÉϳ£±»ÓÃÓÚÓÕµ¼¼±ÐÔÍ´·çÐÔÊàŦÑ×Ä£×Ó£¬£¬£¬£¬Òѱ»ÆÕ±éÓ¦ÓÃÓÚÒ©Àí¡¢Ò©Ð§µÈ·½ÃæµÄÑо¿¡£¡£¡£¡£¡£
04 ʵÑéÐÔ×ÔÉíÃâÒßÐÔÄÔ¼¹ËèÑ×Ä£×Ó
¶à·¢ÐÔÓ²»¯Ö¢£¨Multiple Sclerosis, MS£©ÊÇÒ»ÖÖÖÐÊàÉñ¾ÏµÍ³£¨Central Nervous System, CNS£©µÄÑ×Ö¢ÐÔ¼²²¡£¬£¬£¬£¬ÊµÑéÐÔ×ÔÉíÃâÒßÐÔÄÔ¼¹ËèÑ×£¨Experimental autoimmune encephalomyelitis, EAE£©ÊÇMS×î³£¼ûµÄ¶¯ÎïÄ£×ÓÖ®Ò»¡£¡£¡£¡£¡£
MSµ¼ÖµÄÃâÒßϵͳ¹¥»÷»áʹËèÇÊÊÜË𣬣¬£¬£¬×ÌÈÅÉñ¾´«µ¼£¬£¬£¬£¬½ø¶øµ¼ÖÂһϵÁÐÖ¢×´£¬£¬£¬£¬°üÀ¨ÊÓÁ¦ÊÜËð¡¢¼¡ÈâÎÞÁ¦¡¢Ðµ÷ÄÜÁ¦È±Ê§ºÍÈÏÖª¹¦Ð§Õϰ¡£¡£¡£¡£¡£ÆäÌØÕ÷ÊÇÉñ¾Ñ×Ö¢¼°ÅãͬµÄÍÑËèÇʺÍÖáÍ»±äÐÔ¡£¡£¡£¡£¡£
ÔÚEAEСÊóÄ£×ÓÖУ¬£¬£¬£¬Í¨¹ýÓÕµ¼×ÔÉíÃâÒß·´Ó¦£¬£¬£¬£¬Ê¹µÃTϸ°ûºÍµ¥ºËϸ°û½þÈó½øÈëÖÐÊàÉñ¾ÏµÍ³£¬£¬£¬£¬µ¼ÖÂÖáÍ»µÄÈ¥ËèÇÊ»¯£¬£¬£¬£¬½ø¶øÒýÆðÉñ¾´«µ¼ÕϰºÍ¾ÙÐÐÐÔºó̱֫»¾£¬£¬£¬£¬Äܹ»Ä£ÄâMSµÄ²¡ÀíÌØÕ÷Óë¼²²¡Ï£Íû¡£¡£¡£¡£¡£
±ðµÄ£¬£¬£¬£¬EAE³£±»ÓÃ×÷ϸ°û½éµ¼µÄÆ÷¹ÙÌØÒìÐÔ×ÔÉíÃâÒß¼²²¡Ä£×Ó¡£¡£¡£¡£¡£EAE»¹¾ßÓÐÖØ´óµÄÉñ¾Ò©Àíѧ£¬£¬£¬£¬Ðí¶àÓÃÓÚMSÒ©Îï¶¼ÊÇÔÚEAEÄ£×ӵĻù´¡ÉÏ¿ª·¢¡¢²âÊÔ¡¢ÑéÖ¤µÄ¡£¡£¡£¡£¡£
05 ßäàÄªÌØÓÕµ¼µÄÒøÐ¼²¡Ä£×Ó
ÒøÐ¼²¡ÊÇÒ»ÖÖÂýÐÔÑ×Ö¢ÐÔÆ¤·ô²¡£¬£¬£¬£¬Óë×ÔÉíÃâÒß¹¦Ð§ÔÓÂҵȶàÖÖÓÕÒòÓйء£¡£¡£¡£¡£ÒøÐ¼²¡»áµ¼ÖÂÆ¤·ôÒòËØµÄ¸Ä±ä£¬£¬£¬£¬ÏÖÔÚÆÕ±éÒÔÎªÒøÐ¼²¡ÊÇÒ»ÖÖÃâÒßϸ°û¼°ÃâÒßÏà¹ØÏ¸°ûÅäºÏ½éµ¼µÄÑ×Ö¢ÐÔÆ¤·ô²¡¡£¡£¡£¡£¡£
ßäàÄªÌØ£¨Imiquimod, IMQ£©ÓÕµ¼µÄСÊóÄ£×ÓÊÇÊܵ½ÆÕ±éÈϿɵÄÒøÐ¼²¡ÀදÎïÄ£×ÓÖ®Ò»¡£¡£¡£¡£¡£IMQÊÇTollÑùÊÜÌ壨TLR£©7/8µÄÅäÌå¡£¡£¡£¡£¡£ÓÉÓÚTLRsÂþÑÜÓÚ¾ÞÊÉϸ°û¡¢µ¥ºËϸ°ûºÍ½¬Ï¸°ûÑùÊ÷ͻϸ°û£¨pDC£©ÉÏ£¬£¬£¬£¬Òò´ËIMQÄܹ»Ç¿ÁÒ¼¤»îÃâÒßϵͳ¡£¡£¡£¡£¡£¾Ö²¿Ê¹ÓÃIMQ¿ÉÓÕµ¼ÒøÐ¼²¡£¬£¬£¬£¬Äܹ»½ÏºÃµØÄ£ÄâÈËÀàÒøÐ¼²¡ÑùµÄƤËðÌåÏÖ£¬£¬£¬£¬²¢Ò»¶¨Ë®Æ½µØ±£´æÓëÒøÐ¼²¡ÏàËÆµÄ¹ÌÓÐÃâÒߺͻñµÃÐÔÃâÒßÔÓÂÒ£¬£¬£¬£¬¿ÉÓÃÓÚÑо¿ÒøÐ¼²¡Ç±ÔÚ»úÖÆºÍÆÀ¹ÀÐÂÁÆ·¨¡£¡£¡£¡£¡£
06 IL-23ÓÕµ¼µÄСÊó¶úÀªÒøÐ¼²¡Ä£×Ó
IL-23£¨°×ϸ°û½éËØ-23£©ÊÇÒ»ÖÖÒìÔ´¶þ¾ÛÌåϸ°ûÒò×Ó£¬£¬£¬£¬ÓÉp19ÑÇ»ù£¨IL-23¶ÀÍÌ£©ºÍp40ÑÇ»ù£¨ÓëIL-12¹²Ïí£©Í¨¹ý¶þÁò¼üÅþÁ¬Ðγɡ£¡£¡£¡£¡£IL-23/Th17ͨ·ÊÇÒøÐ¼²¡µÄÖ÷ÒªÖ²¡Í¨Â·¡£¡£¡£¡£¡£IL-23Äܹ»Ôö½øTh17ϸ°ûµÄ·Ö½â£¬£¬£¬£¬±¬·¢IL-17A¡¢IL-17F¼°IL-22µÈϸ°ûÒò×Ó£¬£¬£¬£¬´Ó¶øµ¼Ö½ÇÖÊÐγÉϸ°ûÒì³£·Ö½âºÍÑ×Ö¢¡£¡£¡£¡£¡£ÆäÖУ¬£¬£¬£¬IL-23/IL-17Aͨ·ÔÚÒøÐ¼²¡ÖÐÆð×ÅÖÁ¹ØÖ÷ÒªµÄ×÷Óᣡ£¡£¡£¡£
IL-23×¢ÉäÄ£×ÓµÄÓÅÊÆÔÚÓÚʹÓüòµ¥Ï¸°ûÒò×Ó£¬£¬£¬£¬²¢ÇÒÕâÖÖϸ°ûÒò×ÓÔÚÒøÐ¼²¡ÖÐÒý·¢Ñ×Ö¢µÄ×÷ÓÃÒÑ»ñµÃ֤ʵ¡£¡£¡£¡£¡£¾Æ¤ÄÚ×¢ÉäIL-23¿ÉÒÔÓÕµ¼Ð¡Ê󱬷¢ÒøÐ¼²¡ÑùƤ·ô²¡±ä£¬£¬£¬£¬½¨Éè±ã½ÝÇÒ±¾Ç®½ÏµÍ£¬£¬£¬£¬±»ÆÕ±éÓÃÓÚÈËÀàÒøÐ¼²¡Ñо¿¡£¡£¡£¡£¡£
07 ·ð²¨õ¥ÓÕµ¼µÄ¼±ÐÔʪÕîÑùÄ£×Ó
ÌØÓ¦ÐÔÆ¤Ñ×£¨Atopic Dermatitis, AD£©µÄÓÕÒòÖØ´ó¶àÑù£¬£¬£¬£¬ÆäÁÙ´²ÌåÏÖ°üÀ¨Æ¤·ô¸ÉÔʪÕîÑùƤË𣨰üÀ¨ºì°ß¡¢ÉøÍ¸ºÍ½áð衢̦޺Ñù±äµÈ£©ÒÔ¼°Ç¿ÁÒðþÑ÷µÈµÈ¡£¡£¡£¡£¡£Èç²»¼ÓÒÔ¿ØÖÆ£¬£¬£¬£¬ÕâЩÑ×Ö¢·´Ó¦¿ÉÄÜ»áת±äΪ¸üÄÑÒÔ½â¾öµÄ¼²²¡¡£¡£¡£¡£¡£
ÏÖÔÚ£¬£¬£¬£¬ÌÇÆ¤Öʼ¤ËØ¡¢·ÇçÞÌ忹Ñ×Ò©µÈÊÇ¿ØÖÆÑ×Ö¢µÄÊ×Ñ¡¡£¡£¡£¡£¡£µ«Àà¹Ì´¼Ò©ÎïʹÓò»µ±£¬£¬£¬£¬»áÅãͳһ¶¨Ë®Æ½µÄ¸±×÷Óᣡ£¡£¡£¡£ÒÔÊÇ£¬£¬£¬£¬¿ª·¢ÖÎÁÆÑ×Ö¢µÄÐÂÒªÁì¾ßÓÐÖ÷ÒªµÄÁÙ´²ÒâÒå¡£¡£¡£¡£¡£
ÔÚɸѡDZÔÚ¿¹Ñ×Ò©Îïʱ£¬£¬£¬£¬·ð²¨õ¥ÓÕµ¼µÄСÊóÄ£×Ó¿ÉÒԽϺõػ¹ÔÑ×Ö¢·´Ó¦£¬£¬£¬£¬³£±»ÓÃÓÚÑо¿¿¹Ñ×Ò©ÎïÔÚÎÞ¾úÐÔÑ×Ö¢ÖеÄҩЧ¡£¡£¡£¡£¡£±ðµÄ£¬£¬£¬£¬·ð²¨õ¥Ò²³£ÓÃÓÚ½¨Éè¼±ÐÔʪÕîÑùÄ£×Ó¡£¡£¡£¡£¡£
08 DNFBÓÕµ¼µÄÑǼ±ÐÔʪÕîÑùÄ£×Ó
ÔÚÌØÓ¦ÐÔÆ¤Ñ×£¨AD£©Ñо¿ÖУ¬£¬£¬£¬¿ÆÑÐÖ°Ô±ÔøÊµÑéͨ¹ý·Û³¾òý£¨Dermatophagoides farinae, Df/Derf£©×÷Ϊ¹ýÃôÔ½¨ÉèADСÊóÄ£×Ó¡£¡£¡£¡£¡£µ«ÔÚBALB/cСÊóÉíÉÏ±íÆ¤Í¿Ä¨DfÌáÈ¡ÎDfE£©²¢Ã»ÓÐÓÕµ¼·ºÆðµä·¶µÄƤËð·´Ó¦¡£¡£¡£¡£¡£
2,4-¶þÏõ»ù·ú±½£¨Dinitrofluorobenzene, DNFB£©ÊÇÒ»ÖÖÄܵ¼ÖÂСÊó½Ó´¥ÐÔÆ¤Ñ׵ij£¼ûµ¥Ì壬£¬£¬£¬ÄÜÓëÆ¤·ô×éÖ¯ÂѰ×Á¬Ïµ³ÉΪÍêÈ«¿¹Ô£¬£¬£¬£¬¼¤»îTÁܰÍϸ°û£¬£¬£¬£¬Òý·¢¹ýÃô·´Ó¦¡£¡£¡£¡£¡£DNFBÒý·¢µÄƤ·ô¹¦Ð§Õϰ¿ÉÄÜÊÇÔöÇ¿DfE¶ÔСÊ󯤷ôÓ°ÏìµÄÒ»ÖÖÒªÁì¡£¡£¡£¡£¡£
½»ÌæÊ¹ÓÃDNFBºÍDf´Ì¼¤Æ¤·ô£¬£¬£¬£¬¿ÉÓÕµ¼BALB/cСÊ󱬷¢ÓëÈËÀàADÏàËÆµÄTh2ÐÍÆ¤·ôÑ×Ö¢¡£¡£¡£¡£¡£ÕâÖÖÄ£×Ó¶ÔÑо¿ADµÄ·¢²¡»úÖÆºÍ¿ª·¢ÐÂÐÍÖÎÁÆÒ©ÎïºÜÓмÛÖµ¡£¡£¡£¡£¡£
09 DNFBÓÕµ¼µÄÂýÐÔÌØÓ¦ÐÔÆ¤Ñ×Ä£×Ó
DNFB³£±»ÓÃÀ´½¨ÉèСÊóÌØÓ¦ÐÔÆ¤Ñ×£¨AD£©Ä£×Ó£¬£¬£¬£¬Ëæ×ÅÔìÄ£Àú³Ì·ºÆðƤ·ô¸ÉÔïÍÑм¡¢ºì°ßµÈÂýÐԸı䣬£¬£¬£¬ÓëÈËÀàADƤËðת±äÏàËÆ¡£¡£¡£¡£¡£
ͨ¹ýDNFBÖØ¸´´Ì¼¤¿ÉÒÔ½¨ÉèÂýÐÔÌØÓ¦ÐÔÆ¤Ñ×Ä£×Ó£¬£¬£¬£¬ÓÕµ¼ADÑùƤÑס¢×é֯ѧת±äÒÔ¼°±íƤÆÁÕϹ¦Ð§Õϰ£¬£¬£¬£¬Ñо¿Ç¿ÁÒðþÑ÷ºÍ¸´·¢ÐÔÆ¤ËðµÈÎÊÌâ¡£¡£¡£¡£¡£
10 TNBSÓÕµ¼µÄ´óÊóÀ£ÑñÐԽ᳦Ñ×Ä£×Ó
Ñ×Ö¢ÐÔ³¦²¡£¡£¡£¡£¡£¨Inflammatory bowel disease, IBD£©ÊÇÒ»ÖÖÂýÐÔ³¦µÀÑ×Ö¢ÐÔ¼²²¡£¬£¬£¬£¬°üÀ¨¿ËÂÞ¶÷²¡£¡£¡£¡£¡£¨Crohn's Disease, CD£©ºÍÀ£ÑñÐԽ᳦Ñ×£¨Ulcerative Colitis, UC£©£¬£¬£¬£¬ÏÖÔÚ·¢²¡»úÖÆÉв»Ã÷È·£¬£¬£¬£¬Ö÷ÒªÓëÃâÒßϵͳÒì³£¡¢´ó×Úϸ°û½þÈóÓйأ¬£¬£¬£¬°üÀ¨CD4+ TÁܰÍϸ°û¡¢·Ê´óϸ°û¡¢ÖÐÐÔÁ£Ï¸°ûºÍÊÈËáÐÔÁ£Ï¸°ûÊýÄ¿ÔöÌí¡£¡£¡£¡£¡£ÕâЩÃâÒß·´Ó¦»áÒýÆðÑ×Ö¢¡¢À£Ññ¡¢Ë®Öס¢¸¹Ðº£¨ð¤Òº±ãºÍ/»òŧѪ±ã£©¡¢·¢ÈȺÍ賦È䶯Õϰ¡£¡£¡£¡£¡£ÁÙ´²»¹Ã»ÓÐÕë¶ÔIBDµÄÒ©Î£¬£¬£¬ÏÖÔÚµÄÖ÷ÒªÖÎÁÆÒªÁìÊÇÑÓ»º¼²²¡Ï£Íû¡£¡£¡£¡£¡£
IBD¶¯ÎïÄ£×ÓÄܹ»ÌåÏÖ³öÈËÀàCDºÍUCµÄijЩ²¡/ÐÄÀíÌØÕ÷£¬£¬£¬£¬°üÀ¨ÌåÖØ¼õÇáºÍ¸¹Ðº£¬£¬£¬£¬°éÓÐѪ±ãºÍ/»òÕ³Òº±ã¡¢·¢ÈÈ¡¢½á³¦Ëõ¶Ì¡¢ÒþÎÑÒì³£¡¢Î¸È䶯ÕϰºÍÑ×֢ϸ°û½þÈóµÈ¡£¡£¡£¡£¡£
2,4,6-ÈýÏõ»ù±½»ÇËᣨTNBS£©ÓÕµ¼µÄÄ£×ÓÊÊÓÃÓÚСÊóºÍ´óÊ󡣡£¡£¡£¡£TNBS´óÊóÀ£ÑñÐԽ᳦Ñ×ÊÇÒ»ÖÖÒÔCD4+ TÁܰÍϸ°û½þÈóÎªÌØÕ÷µÄTh1ÐÍÑ×Ö¢£¬£¬£¬£¬ÓëÈËÀàCDºÍUC¾ßÓÐÏàͬµÄÌØÕ÷¡£¡£¡£¡£¡£
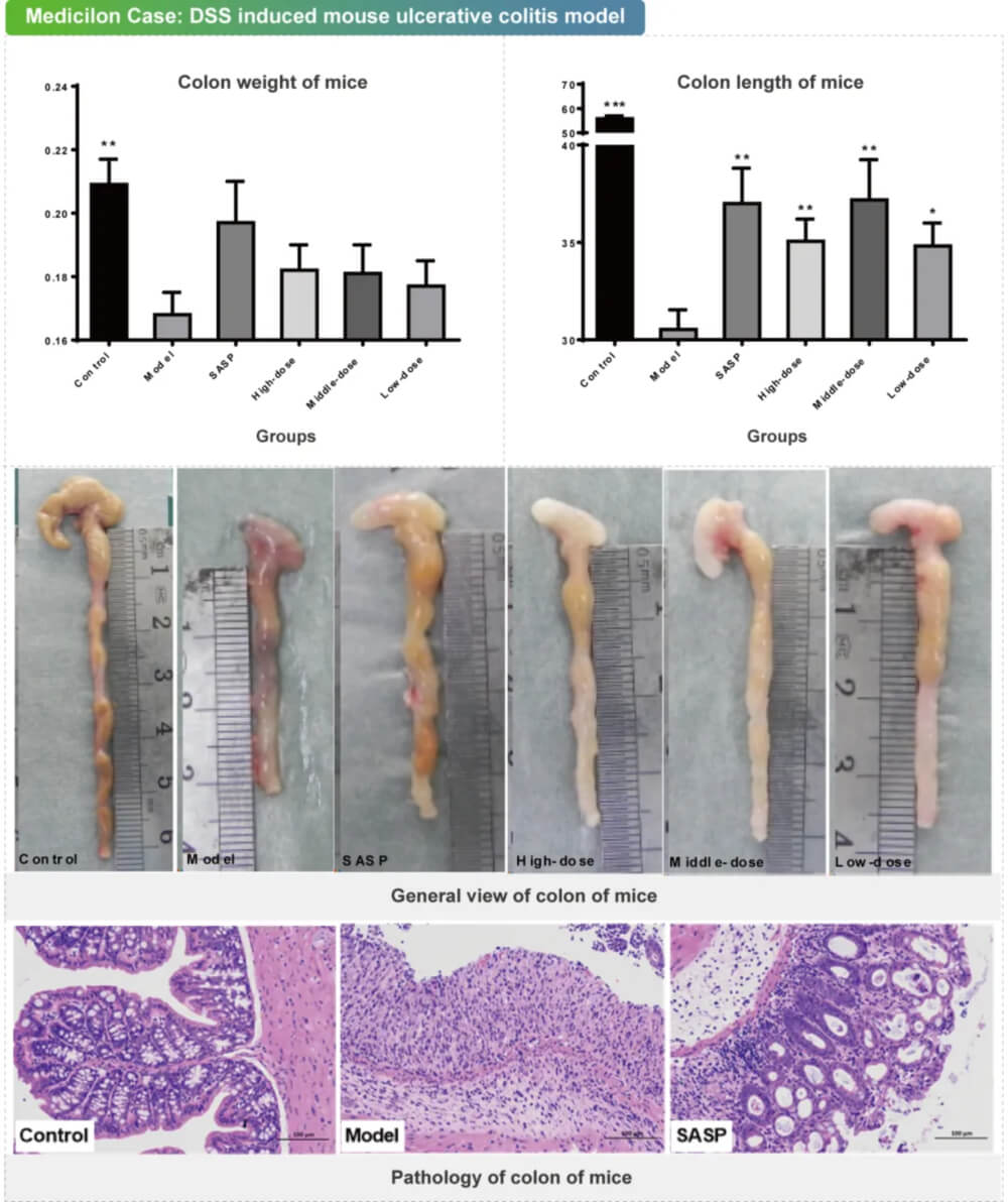
11 ÆÏ¾ÛÌÇÁòËáÄÆÓÕµ¼µÄСÊóÀ£ÑñÐԽ᳦Ñ×Ä£×Ó
ÆÏ¾ÛÌÇÁòËáÄÆ£¨Dextran sulphate sodium, DSS£©ÊÇÒ»ÖÖË®ÈÜÐÔ¡¢´ø¸ºµçºÉ¡¢·Ö×ÓÁ¿¿É±äµÄÁòËữ¶àÌÇ¡£¡£¡£¡£¡£ÓÉÓÚDSS¶Ô½á³¦ÉÏÆ¤Ï¸°ûÓж¾ÐÔ£¬£¬£¬£¬¿ÉÄܵ¼ÖÂճĤÆÁÕϹ¦Ð§ÊÜË𣬣¬£¬£¬Òò´Ë¸øÐ¡ÊóÒûÓÃDSS¿ÉÒÔÒýÆðÀàËÆÈËÀà¿Ë¡¶÷Êϲ¡µÄÈ«½á³¦²¡Ö¢¡£¡£¡£¡£¡£
DSS½á³¦Ñ×Ä£×Ó¾¼Ã¡¢ÇáÓ¯£¬£¬£¬£¬¿É´ó×ÚÖØ¸´½¨É裬£¬£¬£¬ÔÚIBDÑо¿ÖкÜÊÇÊ¢ÐС£¡£¡£¡£¡£Í¨¹ý¸Ä±äDSSµÄŨ¶ÈºÍÒûÓÃÆµÂÊ£¬£¬£¬£¬¿ÉÒÔ½¨Éè¼±ÐÔ¡¢ÂýÐԺ͸´·¢ÐÔ³¦Ñ×Ä£×Ó¡£¡£¡£¡£¡£
²Î¿¼ÎÄÏ×£º
[1] Jing Luan, et al. Applicability and implementation of the collagen-induced arthritis mouse model, including protocols (Review). Exp Ther Med. 2021 Sep;22(3):939. doi: 10.3892/etm.2021.10371.
[2] Xin Cui, et al. Evaluation of antiarthritic activity of nimbolide against Freund's adjuvant induced arthritis in rats. Artif Cells Nanomed Biotechnol. 2019 Dec;47(1):3391-3398. doi: 10.1080/21691401.2019.1649269.
[3] Su-Hyun Shin, et al. 1-Palmitoyl-2-Linoleoyl-3-Acetyl-rac-Glycerol (PLAG) Mitigates Monosodium Urate (MSU)-Induced Acute Gouty Inflammation in BALB/c Mice. Front Immunol. 2020 Apr 24:11:710. doi: 10.3389/fimmu.2020.00710.
[4] Cris S Constantinescu, et al. Experimental autoimmune encephalomyelitis (EAE) as a model for multiple sclerosis (MS). Br J Pharmacol. 2011 Oct;164(4):1079-106. doi: 10.1111/j.1476-5381.2011.01302.x.
[5] Leslie van der Fits, et al. Imiquimod-induced psoriasis-like skin inflammation in mice is mediated via the IL-23/IL-17 axis. J Immunol. 2009 May 1;182(9):5836-45. doi: 10.4049/jimmunol.0802999.
[6] Shujing Feng, et al. An Atopic Dermatitis-Like Mouse Model by Alternate Epicutaneous Application of Dinitrofluorobenzene and an Extract of Dermatophagoides Farinae. Front Med (Lausanne). 2022 Jun 15:9:843230. doi: 10.3389/fmed.2022.843230.
[7] Benoit Chassaing, et al. Dextran sulfate sodium (DSS)-induced colitis in mice. Curr Protoc Immunol. 2014 Feb 4:104:15.25.1-15.25.14. doi: 10.1002/0471142735.im1525s104.