Example ImageÃÀ¸ß÷

EN
EN
  • ÓªÒµ×Éѯ

    Öйú£º

    Email: marketing@medicilon.com.cn

    ÓªÒµ×ÉѯרÏߣº400-780-8018

    £¨½öÏÞЧÀÍ×Éѯ£¬£¬£¬£¬ÆäËûÊÂÒËÇ벦´ò´¨É³×ܲ¿µç»°£©

    ´¨É³×ܲ¿µç»°: +86 (21) 5859-1500

    ÍâÑó£º

    +1(781)535-1428(U.S.)

    0044 7790 816 954 (Europe)

    Email:marketing@medicilon.com

ÔÚÏßÁôÑÔ¡Á
µã»÷Çл»
Integrated Solutions
ЧÀÍÆ½Ì¨

Éî¶ÈÕûºÏÑз¢ÂÄÀú£¬£¬£¬£¬Ò»Ö±ÅÊÔµÑз¢¼¼Êõá¯Á룬£¬£¬£¬´î½¨ÐÂÒ©Ñз¢Ò»Ì廯Á¢ÒìЧÀÍÆ½Ì¨¡£¡£¡£

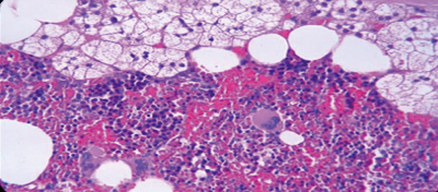
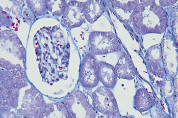
²¡ÀíѧÑо¿

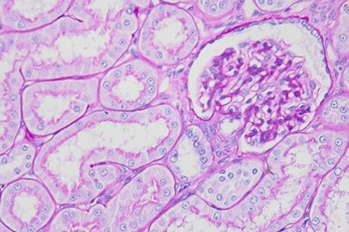
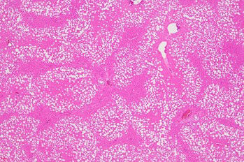
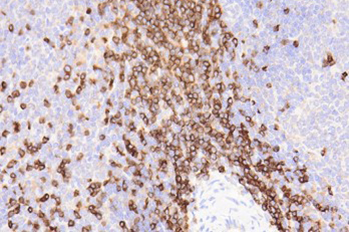
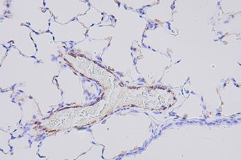
ÃÀ¸ß÷µÄ²¡ÀíѧÑо¿Ð§ÀÍÆ½Ì¨¶Ô±ê¹ú¼ÊÁìÏȵÄÑо¿²Ù×÷Á÷³ÌºÍÖÊÁ¿ÏµÍ³£¬£¬£¬£¬¾ßÓÐÍêÉÆµÄרҵ×ÊÖÊ£¬£¬£¬£¬ÍêÕûµÄʵÑéÆ÷²ÄÒÔ¼°¸»ºñµÄÂÄÀú£¬£¬£¬£¬Äܹ»ÊµÏÖ¸ßЧ£¬£¬£¬£¬Îȹ̵IJ¡ÀíÑо¿Ð§ÀÍ¡£¡£¡£²¡ÀíѧÑо¿Ð§ÀÍÆ½Ì¨¿ÉÒÔΪÐÂÒ©Ñз¢µÄÒ©ÀíҩЧºÍÇå¾²ÐÔÆÀ¹ÀÌá¹©ÕæÊµ¿É¿¿µÄ¿ÆÑ§ÒÀ¾Ý¡£¡£¡£
ÃÀ¸ß÷²¡ÀíѧÑо¿Æ½Ì¨
ÃÀ¸ß÷²¡ÀíѧÑо¿Ð§ÀÍÁбí
²¡ÀíÑо¿Ð§ÀÍÆ½Ì¨×¨Òµ×ÊÖÊ
²¡ÀíÑо¿Ð§ÀÍÆ½Ì¨ÊµÑéÊÒÉèÊ©
·µ»Ø
¡Á
ËÑË÷ÑéÖ¤
µã»÷Çл»
¡¾ÍøÕ¾µØÍ¼¡¿¡¾sitemap¡¿