ÃÀ¸ß÷
ÓªÒµ×Éѯ
Öйú£º
Email: marketing@medicilon.com.cn
ÓªÒµ×ÉѯרÏߣº400-780-8018
£¨½öÏÞЧÀÍ×Éѯ£¬£¬£¬£¬ÆäËûÊÂÒËÇ벦´ò´¨É³×ܲ¿µç»°£©
´¨É³×ܲ¿µç»°: +86 (21) 5859-1500
ÍâÑó£º
+1(781)535-1428(U.S.)
0044 7790 816 954 (Europe)
Email:marketing@medicilon.com



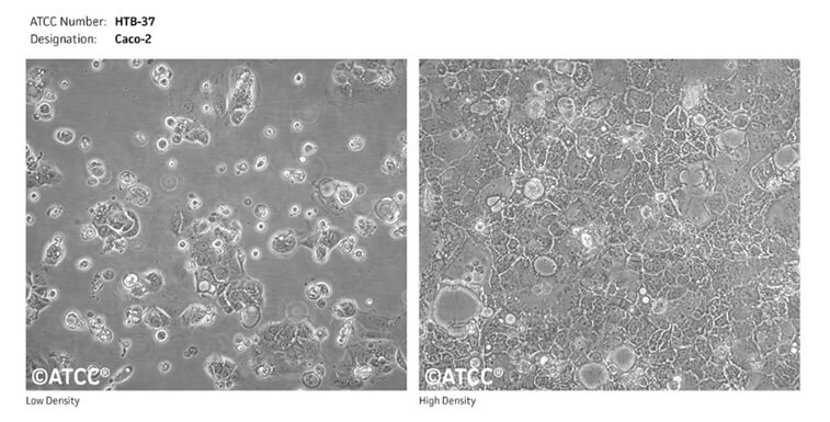
Caco-2ÉøÍ¸ÐÔ²âÊÔ£¨Caco-2 Permeability Assay£©ÊÇÒ»ÖÖ³£ÓõÄÌåÍâʵÑéÒªÁ죬£¬£¬£¬ÓÃÓÚÆÀ¹À»¯ºÏÎïÔÚÈËÌ峦µÀÖеÄÎüÊÕˮƽºÍÉøÍ¸ÐÔ¡£¡£¡£¡£¡£¡£Caco-2ϸ°ûÊÇÒ»ÖÖÈËÀà½á³¦°©Ï¸°ûϵ£¬£¬£¬£¬³£ÓÃÓÚÄ£ÄâÈËÌåС³¦ÉÏÆ¤Ï¸°û²ãµÄÌØÕ÷ºÍ¹¦Ð§¡£¡£¡£¡£¡£¡£Õâ¸öϸ°ûϵÊ״δÓ1977ÄêÒ»Ãû»¼Óн᳦ÏÙ°©µÄÄÐÐÔµÄÖ×ÁöÖÐÊèÉ¢³öÀ´£¬£¬£¬£¬±»ÃüÃûΪCaco-2¡£¡£¡£¡£¡£¡£

Caco-2ϸ°û£¨ÈªÔ´: ATCC£©
Caco-2ÉøÍ¸ÐÔ²âÊÔ£¨Caco-2 Permeability Assay£©ÊÇÒ»ÖÖ³£ÓõÄÌåÍâʵÑéÒªÁ죬£¬£¬£¬ÓÃÓÚÆÀ¹À»¯ºÏÎïÔÚÈËÌ峦µÀÖеÄÎüÊÕˮƽºÍÉøÍ¸ÐÔ¡£¡£¡£¡£¡£¡£µ±Ò©Îïͨ¹ý¿Ú·þ;¾¶¸øÓèʱ£¬£¬£¬£¬Ò©ÎïµÄÎüÊÕˮƽºÍÉøÍ¸ÐÔÊÇÖ÷ÒªµÄÒ©´ú¶¯Á¦Ñ§²ÎÊý¡£¡£¡£¡£¡£¡£
»ùÓÚÈËÀà½á³¦°©Ï¸°ûÖêCaco-2µÄÌØÕ÷£¬£¬£¬£¬¿ÉÒÔͨ¹ýÄ£ÄâС³¦ÉÏÆ¤Ï¸°û²ãµÄÇéÐΣ¬£¬£¬£¬À´Õ¹Íû»¯ºÏÎïµÄ¿Ú·þÉúÎïʹÓöȡ£¡£¡£¡£¡£¡£ÔÚCaco-2ϸ°û×÷ÓýÔÚÉøÍ¸¾Û̼Ëáõ¥Ä¤ÉÏʱ£¬£¬£¬£¬Äܹ»ÐγÉÒ»¸öµ¥²ãÉÏÆ¤Ï¸°û£¬£¬£¬£¬¿ÉÒÔÓÃÓÚÄ£ÄâÈ˳¦ÉÏÆ¤Ï¸°ûµÄµÄÐÎ̬£¬£¬£¬£¬Ðγɶ¥Ä¤²à(apical,AP)ºÍ»ùµ×Íâ²à(basolateral,BL)½á¹¹£¬£¬£¬£¬ÄÜÔÚ¶¥Ä¤Íâò·Ö½â³öË¢×´ÔµÈÞë¡£¡£¡£¡£¡£¡£ÓëPAMPA£¨Æ½ÐÐÈ˹¤Ä¤ÉøÍ¸ÊÔÑ飩Ïà±È£¬£¬£¬£¬Caco-2ϸ°û¾ßÓÐͨÁ¿½ÏµÍ£¬£¬£¬£¬±¾Ç®½Ï¸ßµÄÌØµã£¬£¬£¬£¬È»ºóCaco-2ϸ°û¿ÉÒÔͬʱ¿ìËÙɸѡ´óÅúÁ¿Ò©Î£¬£¬£¬ËùÐèÒªµÄÒ©Á¿½ÏÉÙ£¬£¬£¬£¬Ïà±È¶¯ÎïÄ£×Ó¶øÑÔ£¬£¬£¬£¬ÊÇÏà¶Ô¾¼ÃʡʱµÄÑ¡Ôñ¡£¡£¡£¡£¡£¡£²¢ÇÒ£¬£¬£¬£¬coca-2¿ÉÒÔ±í´ï³¦µÀתÔËÌåºÍø£¬£¬£¬£¬ÓпÉÄÜÕ¹Íû×Ô¶¯×ªÔ˺ÍÓжàÖÖתÔËÌåµÄÒ©ÎïÏ໥×÷Óᣡ£¡£¡£¡£¡£
ÍÆ¼öÔĶÁ£º ʲôÊÇCaco-2ϸ°ûÄ£×Ó£¿£¿£¿
(1) Ê×ÏÈǰ´¦Öóͷ£ÐèÒª½«Caco-2ϸ°û×÷ÓýÔÚ¶à¿×͸Ã÷µÄ×÷ÓýĤÉÏ£¬£¬£¬£¬ÐγÉÒ»¸öϸ°ûµ¥²ã£¬£¬£¬£¬Í¨³£ÐèÒª14-28Ìì¡£¡£¡£¡£¡£¡£ÔÚ×÷ÓýÀú³ÌÖУ¬£¬£¬£¬È·±£Caco-2ϸ°ûµÖ´ïÒ»¶¨µÄ·Ö½âˮƽ£¬£¬£¬£¬ÒÔ¸üºÃµØÄ£Ä⳦ÉÏÆ¤Ï¸°û²ã¡£¡£¡£¡£¡£¡£
(2) ½«´ý²âµÄ»¯ºÏÎï¼ÓÈëµ½HBSSÖУ¬£¬£¬£¬ÈÃÆäÓëCaco-2ϸ°û½Ó´¥¡£¡£¡£¡£¡£¡£
(3) ÈÃϸ°ûÔÚ·õÓýÏäÖÐÒԺ㶨µÄζȡ¢Êª¶ÈºÍCO2Ũ¶ÈÏÂ×÷ÓýÒ»¶Îʱ¼ä£¬£¬£¬£¬Í¨³£Îª2Сʱ¡£¡£¡£¡£¡£¡£
(4) ÔÚ·õÓý¿¢Êº󣬣¬£¬£¬»®·ÖÍøÂçÉϲãÒº£¨ÔÚϸ°ûÉÏ·½£©ºÍϲãÒº£¨Í¨Ï꾡°û²ã½øÈë¿×϶ĤÏ·½£©¡£¡£¡£¡£¡£¡£
ʹÓúÏÊʵļ¼Êõ£¬£¬£¬£¬ÀýÈç¸ßЧҺÏàÉ«Æ×·¨£¨HPLC£©»òÒºÏàÖÊÆ×ÁªÓ÷¨£¨LC-MS£©£¬£¬£¬£¬ÕÉÁ¿ÑùÆ·Öл¯ºÏÎïµÄŨ¶È¡£¡£¡£¡£¡£¡£
(5) ͨ¹ý½ÏÁ¿ÉϲãÒººÍϲãÒºÖл¯ºÏÎïµÄŨ¶È£¬£¬£¬£¬ÅÌË㻯ºÏÎïµÄ͸¹ýÂÊ¡¢ÎüÊÕËÙÂÊÒÔ¼°ÆäËûÏà¹Ø²ÎÊý¡£¡£¡£¡£¡£¡£Ò©ÎïÔÚ Caco-£²Ï¸°ûµ¥²ãÄ£×ÓÖеıí¹ÛÉøÍ¸ÏµÊý£¨apparent permeability coefficient £¬£¬£¬£¬Papp £©µÄÅÌËã £ºPapp=dCr/dt¡ÁVr¡Á1/A ¡Á1/C£° ¡£¡£¡£¡£¡£¡£ Pappµ¥Î»Îª cm/s ¡£¡£¡£¡£¡£¡£
Caco-2ϸ°ûÉøÍ¸ÐÔÊÔÑé¿ÉÒÔÌṩÓйػ¯ºÏÎïÔÚÄ£Ä⳦µÀÌõ¼þϵÄÎüÊÕÌØÕ÷µÄÖ÷ÒªÐÅÏ¢¡£¡£¡£¡£¡£¡£Í¨¹ýÕÉÁ¿»¯ºÏÎïͨÏ꾡°û²ãµÄÄÜÁ¦£¬£¬£¬£¬ÆÀ¹ÀÆä±»ÎüÊÕµ½Ñ»·ÏµÍ³ÖеÄDZÁ¦£¬£¬£¬£¬²¢Õ¹ÍûÆäÔÚÌåÄÚµÄÒ©´ú¶¯Á¦Ñ§ÐÐΪ¡£¡£¡£¡£¡£¡£Õâ¹ØÓÚÒ©ÎïÑз¢ºÍ¿Ú·þÒ©ÎïµÄÉúÎïʹÓÃ¶ÈÆÀ¹ÀºÜÊÇÒªº¦¡£¡£¡£¡£¡£¡£¿ÉÊÇÈÔÈ»ÐèÒª×¢ÖØ£¬£¬£¬£¬Caco-2ϸ°ûÉøÍ¸ÐÔÊÔÑéÊÇÒ»ÖÖÌåÍâÒªÁ죬£¬£¬£¬ËäÈ»Äܹ»ÌṩÓÐÓõIJο¼Êý¾Ý£¬£¬£¬£¬µ«ÔÚÏÖʵӦÓÃÖÐÈÔÐèÒªÁ¬ÏµÆäËûÒòËØ×ÛºÏÆÀ¹À»¯ºÏÎïµÄÎüÊÕÐÔÄܺÍÉøÍ¸ÐÔ¡£¡£¡£¡£¡£¡£
ÃÀ¸ß÷ÔÚÒ©´ú¶¯Á¦Ñ§ÌåÍâÑо¿·½ÃæÓÐÁè¼ÝÊ®¾ÅÄêµÄÏà¹ØÂÄÀú£¬£¬£¬£¬¿ÉÌṩÌåÍâÑо¿°üÀ¨´úлÎȹÌÐÔ¡¢P450ÓÕµ¼ºÍÒÖÖÆ¡¢´úл;¾¶Ñо¿¡¢´úл²úÆ·ÅжϵÈÑо¿ÏîÄ¿£¬£¬£¬£¬Éæ¼°µÄ¶¯ÎïÓдóÊó¡¢Ð¡Êó¡¢Íᢹ·¡¢ºï×ӵȡ£¡£¡£¡£¡£¡£Ã¿ÄêÍê³ÉÁè¼Ý20¸öÐÂÒ©ÁÙ´²Ç°DMPKÉ걨Ñо¿£¬£¬£¬£¬Ã¿Äê´óÓÚ2000¸ö»¯ºÏÎïµÄÌåÄÚPKɸѡ¡£¡£¡£¡£¡£¡£×÷Ϊһվʽ×ÛºÏЧÀÍÆ½Ì¨£¬£¬£¬£¬ÃÀ¸ß÷ÖÂÁ¦ÓÚһֱ̽Ë÷ÏȽøµÄ¼¼ÊõºÍÒªÁ죬£¬£¬£¬ÒÔÖª×ã¿Í»§ÔÚ̽ÌÖÐÂÒ©Ñз¢µÄÐèÇ󣬣¬£¬£¬Ò»Á¬Ìṩ¸ü¸ßЧ¡¢¸ßÐԼ۱ȵÄÑз¢Ð§ÀÍÖúÁ¦¿Í»§¼ÓËÙÐÂÒ©Ñз¢Àú³Ì¡£¡£¡£¡£¡£¡£¸³ÄÜÈ«ÇòÏàÖúͬ°é£¬£¬£¬£¬¾ÛÁ¦ÖйúÁ¢Ò죬£¬£¬£¬ÎªÈËÀ࿵½¡Ð¢Ë³ÊµÁ¦£¡
1. Xiu-wei Yang, Xiao-da Yang, Ying Wang, Lian Ma, Yue Zhang, Xiao-gai Yang, Kui Wang. Establishment of Caco-2 cell monolayer model and standard operation procedure for assessing intestinal absorption of chemical components of traditional Chinese medicine. Journal of Chinese Integrative Medicine, 2007, 5(6): 634-641.
2. Íõɯ, Áõ˹ç÷, ¶¡ÅôÃô, ÅÓÔÂóÏ, ÌÕÖ¾, & ÍõÈç·å. (2020). ÌåÍâÄ£×ÓÔÚÖÐÒ©´úлÑо¿ÖеÄÓ¦ÓÃ. PROGRESS IN PHARMACEUTICAL SCIENCES, 44(2), 119-132.
Ïà¹ØÐÂÎÅ