¡¾ScienceËٵݡ¿¡°Ä¬È»µÄɱÊÖ¡±Âѳ²°©µÄÖÎÁÆÐ°еãÖÕÓÚ±»·¢Ã÷ÁË
ÔÚ°£¼°Ä·Å¬·ÆÑÇ´óѧ¡¢Èðµä¿¨ÂÞÁÖ˹¿¨Ñ§ÔººÍÈðµä»Ê¼ÒÀí¹¤Ñ§Ôº×é³ÉµÄ¹ú¼ÊÑо¿Ð¡×éµÄÅäºÏÑо¿Ï·¢Ã÷£¬£¬£¬£¬Ôö½ø¦Ã-delta Tϸ°û·´Ó¦¿ÉÄÜÊÇÖÎÁÆÍíÆÚÂѳ²°©µÄÓÐÓòßÂÔ¡£¡£¡£¡£¿ËÈÕ£¬£¬£¬£¬ËûÃǵÄÑо¿Ð§¹û½ÒÏþÔÚ¡¶¿ÆÑ§×ª»¯Ò½Ñ§¡·ÔÓÖ¾ÉÏ¡£¡£¡£¡£
Âѳ²°©ÊÇÅ®ÐÔÉúÖ³Æ÷¹Ù³£¼ûµÄ¶ñÐÔÖ×ÁöÖ®Ò»£¬£¬£¬£¬·¢²¡Âʽö´ÎÓÚ×Ó¹¬¾±°©ºÍ×Ó¹¬Ìå°©ÁоӵÚÈýλ¡£¡£¡£¡£µ«Âѳ²°©éæÃüÂÊÒ»Ö±¸ß¾ÓÅ®ÐÔÉúֳϵͳ¶ñÐÔÖ×ÁöÊ×λ¡£¡£¡£¡£Ö®ÒÔÊÇÂѳ²°©±»³ÆÖ®Îª¡°Ä¬È»µÄɱÊÖ¡±£¬£¬£¬£¬ÕâÊÇÓÉÓÚÔçÆÚµÄÂѳ²°©Í¨³£ÊÇûÓÐÈκÎÖ¢×´·ºÆðµÄ£¬£¬£¬£¬ÓÉÓÚÂѳ²Éî¾ÓÅèÇ»£¬£¬£¬£¬Ìå»ýС£¬£¬£¬£¬È±·¦µä·¶Ö¢×´£¬£¬£¬£¬ÔçÆÚÍùÍùÄÑÒÔ·¢Ã÷¡£¡£¡£¡£ÍíÆÚ·ºÆðµÄ֢״ͨ³£ÊÇ·ÇÌØÒìÐԵ쬣¬£¬£¬Èç¶ñÐÄ¡¢ÌåÖØ¼õÇá»ò¸¹Í´µÈ¡£¡£¡£¡£Ê¹ÍíÆÚÂѳ²°©ÖÎÁƽøÒ»²½Öش󻯵ÄÊÇÒ»ÖÖ³£¼ûµÄ¼Ì·¢ÐÔ¼²²¡£¬£¬£¬£¬¼´¸¹Ë®£¬£¬£¬£¬ÓֳƸ¹²¿»ýÒº£¬£¬£¬£¬»áµ¼ÖÂÖ×ÕͲ¢½«°©Ï¸°û×ªÒÆµ½ÉíÌåµÄÆäËû²¿Î»¡£¡£¡£¡£ÓÉÓÚÕâЩԵ¹ÊÔÓÉ£¬£¬£¬£¬Âѳ²°©¿ÉÒÔÔÚδ±»Õï¶ÏµÄÇéÐÎÏÂÎÞÏÞÔöÖ³£¬£¬£¬£¬Ö±µ½ËüÀ©É¢µ½ÆäËûÆ÷¹Ù£¬£¬£¬£¬ÕâʱÍùÍùÒѾ±äµÃºÜÊÇÄÑÒÔÖÎÁÆ£¬£¬£¬£¬²¢ÇÒÊÇΣ¼°ÉúÃüµÄ¡£¡£¡£¡£
ÏÖÔÚ£¬£¬£¬£¬ÎÒÃÇÖªµÀÂѳ²°©Í¨³£¶ÔÖ±½Ó×¢ÉäÖ×Áö½þÈóÃâÒßϸ°û£¨TIIC£©µ½°©¿é£¨¼ò³Æ°©Ö¢ÃâÒßÖÎÁÆ£©Óз´Ó¦¡£¡£¡£¡£¿ÉÊÇÃâÒßÁÆ·¨µÄÁÆÐ§ÓÐÏÞ£¬£¬£¬£¬ÓÉÓÚÎÒÃÇ»¹Ã»ÓÐÍêÈ«ÊèÉ¢³ö¶Ô²î±ð°©Ö¢ÓÐÓõÄÖÎÁÆÒªÁì¡£¡£¡£¡£ÕâÊÇÕâÏîÏàÖúÑо¿µÄÖØµã£¬£¬£¬£¬ÓÉ¿¨ÂÞÁÖ˹¿¨Ñ§ÔºÁÙ´²¿ÆÑ§¡¢¸ÉÔ¤ºÍ¼¼Êõ²¿µÄ°¬Ã×Àö¡¤¸£Ìز©Ê¿Ïòµ¼£¬£¬£¬£¬ËýÊÇÕâÏîÑо¿µÄÖ÷ÒªÖ°Ô±¡£¡£¡£¡£¸£Ìز©Ê¿ÔÚ½ÓÊܲɷÃʱڹÊÍÁËÕâÏîÑо¿µÄÄ¿µÄºÍЧ¹û£¬£¬£¬£¬ËýÃÇÑо¿ÁËÒ»ÖÖ½Ð×ö¦Ã-delta Tϸ°ûµÄÃâÒßϸ°û×Ó¼¯£¬£¬£¬£¬ËüÃÇÔÚ°©Ö¢ÖÐÓÐË«ÖØ×÷Ó㬣¬£¬£¬¿ÉÒÔ±¬·¢IL-17£¨°×½éËØ17£©£¬£¬£¬£¬IL-17ÓëÐí¶à¼²²¡Óйأ¬£¬£¬£¬°üÀ¨·çʪÐÔÊàŦÑס¢ÀÇ´¯¡¢ÒøÐ¼²¡¡¢¶à·¢ÐÔÓ²»¯Ö¢ºÍ¿¹Ö×ÁöÃâÒߣ¬£¬£¬£¬ËüÊÇÖ÷ÒªµÄ¿¹Ö×Áöսʿ£¬£¬£¬£¬¾ßÓÐÖÖÖÖÖ÷ÒªµÄ¹¦Ð§£¬£¬£¬£¬°üÀ¨Ï¸°û¶¾ÐÔºÍ×ÊÖúÆäËûÃâÒßϸ°û¡£¡£¡£¡£
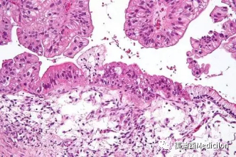
µÍ¶È¶ñÐÔ(LMP)Âѳ²Õ³ÒºÐÔÖ×ÁöµÄÏÔ΢¾µÕÕÆ¬ ͼƬȪԴ£ºScience
ÕâÖÖË«ÖØ×÷ÓÃÊǰ©Ö¢ÖÎÁƵÄÖØ´óÒòËØÖ®Ò»£¬£¬£¬£¬¶ÔÒ»ÖÖ°©Ö¢£¨ÈçºÚËØÁö£©ÓÐÓõÄÁÆ·¨£¬£¬£¬£¬ÔÚÁíÒ»ÖÖ°©Ö¢£¨Èç°×Ѫ²¡»ò½ºÖÊĸϸ°ûÁö£©ÖпÉÄÜÎÞЧ»ò¼Ó¾ç²¡Çé¡£¡£¡£¡£ÎªÁËÈ·¶¨Ôö½ø¦Ã-delta Tϸ°û·´Ó¦¶ÔÂѳ²°©ÊÇÓÐÒæÕÕ¾ÉÓк¦£¬£¬£¬£¬¸£Ìز©Ê¿ºÍËýµÄÍŶÓͨ¹ýÈý¸öÑù±¾¼ì²âÁËÂѳ²°©»¼Õߣ¬£¬£¬£¬»®·ÖÊÇѪҺ¡¢¸¹Ë®ºÍÖ×Áö×éÖ¯¡£¡£¡£¡£È»ºó£¬£¬£¬£¬¶ÔÕâЩÑù±¾¾ÙÐÐÁËTϸ°ûÊÜÌå²âÐò£¨TCR-seq£©£¬£¬£¬£¬ÕâÒ»Àú³Ì¿ÉÒÔ¶ÁÈ¡Tϸ°û¿âÖеÄÌØ¶¨ÉúÎï±ê¼ÇÎï¡£¡£¡£¡£ÕâЩЧ¹û¾ÍÏñÒ»ÖÖ·Ö×Ó±ê¼Çϵͳ£¬£¬£¬£¬Tϸ°û¿ÉÒÔʶ±ð¿¹Ô£¬£¬£¬£¬²¢ÇÒΪÁ˱¾Ñо¿µÄÄ¿µÄ£¬£¬£¬£¬¿ÉÒÔ·¢Ã÷Ñù±¾½«ÔõÑù¶Ô¦Ã-¦Ä Tϸ°û¾ÙÐÐÉøÍ¸·´Ó¦¡£¡£¡£¡£
×îÖÕЧ¹ûÏÔʾ£¬£¬£¬£¬ÕâЩϸ°û¶ÔÂѳ²°©ÊÇÓÐÒæµÄ£¬£¬£¬£¬ÓÉÓÚËüÃDz»»á±¬·¢´ÙÖ×Áöϸ°ûÒò×ӺͿ¹Ö×Áö¹¦Ð§¡£¡£¡£¡£ÓÐȤµÄÊÇ£¬£¬£¬£¬Ñо¿Ö°Ô±»¹·¢Ã÷gd Tϸ°ûÔÚ»¼Õߵĸ¹Ë®ºÍÖ×ÁöÖÐÒÔ²î±ðµÄ·½·¨Ê©Õ¹×÷Ó㬣¬£¬£¬ËüÃÇ»®·ÖÒÔ˳ӦÑùºÍ¹ÌÓÐÑùµÄ·½·¨Ê©Õ¹×÷Óᣡ£¡£¡£¸£Ìز©Ê¿ÌåÏÖÕâÒ»µãºÜÊÇÖ÷Òª£¬£¬£¬£¬ÓÉÓÚËü·¿ªÁËÓÐȤµÄ¿ÉÄÜÐÔºÍδÀ´µÄÆ«Ïò£¬£¬£¬£¬Ì½Ë÷ÔöÇ¿¹¦Ð§£¬£¬£¬£¬ÒÔÌá¸ß»¼ÕߵĴæ»îÂÊ¡£¡£¡£¡£ÏÖÔÚÕâÒ»·¢Ã÷»¹ÐèÒªÔÚ¸ü¶àµÄÑо¿ÖлñµÃÑéÖ¤£¬£¬£¬£¬¸ÃÏîÑо¿Ð§¹û¶ÔÈËÀà°©Ö¢µÄÕâÒ»×Ó¼¯Ð¢Ë³ÁËÐí¶àµÄ֪ʶÓëʵÁ¦£¬£¬£¬£¬Íƶ¯Á˰©Ö¢ÖÎÁƵÄÉú³¤¡£¡£¡£¡£
¹ØÓÚÃÀ¸ß÷
ÃÀ¸ß÷£¨¹ÉƱ´úÂ룺688202£©½¨ÉèÓÚ2004Ä꣬£¬£¬£¬×ܲ¿Î»ÓÚÉϺ££¬£¬£¬£¬ÖÂÁ¦ÓÚΪȫÇòÖÆÒ©ÆóÒµ¡¢Ñо¿»ú¹¹¼°¿ÆÑÐÊÂÇéÕßÌṩȫ·½Î»µÄÁÙ´²Ç°ÐÂÒ©Ñо¿Ð§ÀÍ¡£¡£¡£¡£ÃÀ¸ß÷µÄһվʽ×ÛºÏЧÀÍÒÔÇ¿ÓÐÁ¦µÄÏîÄ¿¹ÜÀíºÍ¸ü¸ßЧ¡¢¸ßÐԼ۱ȵÄÑз¢Ð§ÀÍÖúÁ¦¿Í»§¼ÓËÙÐÂÒ©Ñз¢Àú³Ì£¬£¬£¬£¬Ð§Àͺ¸ÇÒ½Ò©ÁÙ´²Ç°ÐÂÒ©Ñо¿µÄÈ«Àú³Ì£¬£¬£¬£¬°üÀ¨Ò©Îï·¢Ã÷¡¢Ò©Ñ§Ñо¿¼°ÁÙ´²Ç°Ñо¿¡£¡£¡£¡£ÃÀ¸ß÷Ó뺣ÄÚÍâÓÅÖʿͻ§ÅäºÏÉú³¤£¬£¬£¬£¬ÎªÈ«ÇòÁè¼Ý700¼Ò¿Í»§ÌṩÐÂÒ©Ñз¢Ð§ÀÍ£¬£¬£¬£¬ÃÀ¸ß÷½«¼ÌÐø×¤×ãÈ«ÇòÊÓÒ°£¬£¬£¬£¬¾ÛÁ¦ÖйúÁ¢Ò죬£¬£¬£¬ÎªÈËÀ࿵½¡Ð¢Ë³ÊµÁ¦£¡
ÁªÏµÃÀ¸ß÷
Email:
marketing@medicilon.com.cn
µç»°: +86 (21) 5859-1500£¨×Ü»ú£©

·ÖÏíµ½£º